The Advantages of Professional Whitening Teeth
Professional teeth whitening, performed in a dentist’s office, offers a multitude of benefits that over-the-counter methods simply can’t match. While various whitening products are available, they often lack the potency and expertise of a professional treatment. This article will delve into the top five benefits of choosing professional teeth whitening, showcasing why it’s a superior choice for anyone seeking a brighter, more confident smile. Choosing a dentist ensures the process is safe, effective, and tailored to your specific needs, providing a level of care that at-home solutions cannot replicate. The investment in professional whitening is an investment in your overall well-being, from your self-esteem to your long-term oral health. This in-depth guide will give you a complete overview of the advantages and the process of teeth whitening in a dentist office.
Boost Your Confidence
One of the most immediate and impactful benefits of professional teeth whitening is the significant boost in self-confidence. A brighter smile can drastically change how you perceive yourself and how others perceive you. Stained or discolored teeth can lead to self-consciousness, causing individuals to hide their smiles or avoid social situations. Professional whitening, in contrast, can eliminate these inhibitions by giving you a radiant smile that you’re proud to show off. The transformation can be so remarkable that you’ll feel more comfortable in social settings, be more willing to take photos, and generally feel more positive about your appearance. This enhanced confidence can extend to all areas of your life, from personal relationships to professional endeavors. A confident smile is a powerful tool, and professional teeth whitening is an excellent way to unlock its potential.
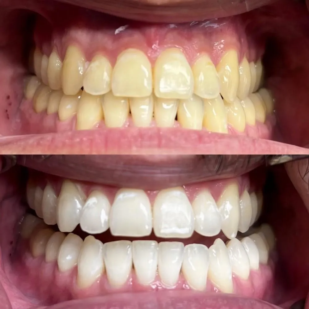
Instant Results and Dramatic Change

Unlike at-home whitening kits that often require weeks of consistent use to achieve noticeable results, professional teeth whitening offers instant and dramatic changes. In just one or two sessions at the dentist’s office, your teeth can become significantly whiter. This rapid transformation is a significant advantage for those who need quick results, such as before a wedding, a job interview, or any special event. The concentrated whitening agents used by dentists, along with techniques like the application of a special light, accelerate the process, providing immediate and impressive results. The level of change is often several shades brighter, which can make a huge difference in your overall appearance and the way you feel. The instant gratification of seeing a dramatically whiter smile is a major draw for many people.
Personalized Treatment
Professional teeth whitening is a personalized experience. Before the procedure, your dentist will conduct a thorough examination of your teeth and gums to ensure that you are a suitable candidate for the treatment. This assessment helps identify any underlying dental issues that need to be addressed and ensures the whitening process is safe and effective for you. The dentist can also tailor the whitening treatment to your specific needs and goals. This might involve adjusting the strength of the whitening agents, the duration of the treatment, or using specialized techniques to target specific areas of discoloration. Because a dentist is overseeing the process, you can be sure the treatment is safe and effective. This personalized approach is a stark contrast to the one-size-fits-all approach of many over-the-counter products, making professional whitening a safer and more effective choice.
Long-Lasting Effects
Professional teeth whitening not only provides immediate results but also offers long-lasting effects. While at-home whitening treatments may provide temporary results, the whitening achieved at a dentist’s office tends to last much longer. The longevity of the results depends on various factors, including your oral hygiene habits and your diet. However, with proper care, the results of professional whitening can last for several months or even years. Dentists also provide guidance on maintaining your bright smile, including recommendations for oral hygiene, diet, and touch-up treatments. The longevity of professional whitening makes it a worthwhile investment, providing lasting confidence and a beautiful smile. Regular check-ups and professional cleaning can also help in maintaining the whitening effect.
Safety Measures

One of the most important advantages of professional teeth whitening is the safety factor. Dentists are trained professionals who understand the intricacies of teeth and gums and can minimize potential risks associated with the whitening process. Before the procedure, your dentist will assess your oral health and ensure that your teeth and gums are healthy enough for whitening. They’ll also take precautions to protect your gums and other soft tissues from the whitening agents. The use of professional-grade products, along with the expertise of a dentist, reduces the risk of tooth sensitivity and other potential side effects. Your dentist is always there to monitor your progress and address any concerns, ensuring a safe and comfortable experience. This makes professional teeth whitening a far safer option compared to at-home treatments, which may not always include these safety measures.
Why Choose Professional Teeth Whitening
Comparing Over-the-Counter and Professional Whitening
When choosing a teeth whitening method, it is important to compare over-the-counter (OTC) products with professional treatments. OTC products, such as whitening strips and toothpaste, may seem like a convenient and affordable option. However, they often contain lower concentrations of whitening agents, leading to less dramatic and slower results. Professional whitening, on the other hand, uses stronger whitening agents, such as carbamide peroxide or hydrogen peroxide, that can penetrate the enamel more effectively. Dentists can also customize the treatment to your specific needs and preferences, ensuring optimal results. While OTC products may provide a slight improvement in the shade of your teeth, professional whitening offers a significantly more noticeable and longer-lasting change. Additionally, professional treatments are safer, as they are administered by trained professionals who can protect your gums and address any potential issues. The benefits of professional whitening generally outweigh the convenience and cost savings of OTC products when you consider the effectiveness and safety.
Cost Analysis

The cost of professional teeth whitening can vary depending on your location, the dentist’s fees, and the specific treatment you choose. While it may be more expensive upfront than OTC options, the investment in professional whitening can be worthwhile. The superior results and the longevity of the treatment can provide excellent value for your money. When considering the cost, it is important to also factor in the potential risks and side effects of OTC products. While they might seem cheaper initially, they can sometimes cause damage or require additional dental care to correct issues. Professional whitening minimizes these risks by ensuring a safe and effective treatment. Some dentists also offer payment plans or financing options to make professional whitening more accessible. If you are looking for a safe, effective, and long-lasting solution, professional teeth whitening offers excellent value and ensures a brighter, more confident smile.
Treatment Process
Preparing for the Procedure
Before undergoing professional teeth whitening, your dentist will prepare you for the procedure. This preparation typically begins with a comprehensive examination of your teeth and gums. Your dentist will assess your oral health and identify any potential issues, such as cavities or gum disease, that need to be addressed before whitening. They will also take your dental history and discuss your goals and expectations for the treatment. The dentist will also take photographs of your teeth and may create a mold to customize the whitening trays, ensuring an even and effective application of the whitening agent. This preparation phase ensures that the whitening process is safe, comfortable, and tailored to your specific needs. Following the initial assessment, your dentist will clean your teeth to remove any plaque or surface stains, maximizing the effectiveness of the whitening agent. This preparatory phase is essential for achieving optimal results and a healthy, bright smile.
Procedure Steps

The professional teeth whitening procedure typically involves several key steps. First, your dentist will protect your gums by applying a protective barrier. This barrier ensures that the whitening agent only comes into contact with your teeth, minimizing the risk of irritation. Next, the whitening agent is applied to the surface of your teeth. This agent, usually a high-concentration hydrogen peroxide solution, breaks down stains and discoloration. Some dentists may use a special light or laser to accelerate the whitening process, enhancing its effectiveness. The whitening agent is left on your teeth for a specified amount of time, typically between 30 minutes and an hour, depending on the desired results and the strength of the agent. During this time, you can relax in the dental chair while the whitening process takes place. The procedure may be repeated during the same appointment for further enhancement, or it may involve multiple sessions depending on your whitening goals. Once the process is complete, the dentist removes the whitening agent and protective barrier, leaving you with a brighter smile.
Post-Procedure Care
After your professional teeth whitening procedure, your dentist will provide you with post-procedure care instructions to maintain your bright smile and minimize any potential side effects. It is important to follow these instructions carefully to ensure the best possible results. Common post-whitening instructions include avoiding certain foods and drinks that can stain your teeth, such as coffee, tea, red wine, and dark-colored berries. You may also need to avoid smoking and other tobacco products, as they can stain your teeth and hinder the whitening process. Your dentist may also recommend using a specific toothpaste or mouthwash to help maintain your results. It is important to maintain excellent oral hygiene by brushing and flossing regularly to prevent staining and maintain your bright smile. Follow-up appointments with your dentist may be scheduled to monitor your progress and address any concerns you may have. By following these post-procedure care instructions, you can prolong the effects of your teeth whitening treatment and enjoy a confident, radiant smile for years to come.
Maintaining Your Bright Smile
Essential Tips

Maintaining your bright, white smile after professional teeth whitening requires a few essential tips and lifestyle adjustments. Firstly, follow a teeth-friendly diet. This means avoiding or minimizing consumption of foods and beverages that can stain your teeth, such as coffee, tea, red wine, and heavily pigmented foods. If you do consume these items, rinsing your mouth with water immediately afterward can help reduce staining. Secondly, practice excellent oral hygiene. Brush your teeth at least twice a day with a whitening toothpaste, and floss daily to remove plaque and prevent stains. Use of a straw when drinking staining beverages can also help minimize contact with your teeth. Regular dental check-ups and cleanings are also crucial, as your dentist can remove surface stains and recommend touch-up treatments if necessary. Furthermore, avoid smoking and using tobacco products, as they are major contributors to teeth discoloration. With consistent effort and adherence to these tips, you can enjoy a dazzling and healthy smile for years to come.
Best Products and Brands
Choosing the right products and brands can significantly help in maintaining your bright smile after professional teeth whitening. When it comes to toothpaste, look for formulations specifically designed for whitening and sensitivity. Brands like Crest, Colgate, and Sensodyne offer a variety of options that are effective and gentle on your teeth. Whitening toothpastes often contain mild abrasives that help remove surface stains. For mouthwash, choose alcohol-free options to prevent dry mouth, which can increase the risk of staining. Look for mouthwashes that contain fluoride to strengthen your enamel and protect against cavities. Your dentist may recommend specific brands or products based on your individual needs and the whitening treatment you received. It is also wise to invest in an electric toothbrush, as they are often more effective at removing plaque and preventing staining. Additionally, consider using whitening strips or touch-up kits periodically, as recommended by your dentist, to maintain your desired level of brightness.
Conclusion
Professional teeth whitening offers unparalleled benefits compared to at-home alternatives. From an instant boost in confidence and dramatic, long-lasting results to personalized treatment and enhanced safety measures, the advantages are clear. Choosing to whiten your teeth in a dentist’s office ensures you receive expert care, customized to your specific needs, and minimizes potential risks. By understanding the process, the post-procedure care, and the importance of maintaining your bright smile, you can make an informed decision and enjoy a radiant smile for years to come. Embracing this path is an investment in your overall well-being and a testament to the power of a confident smile. If you’re looking for a safe, effective, and long-lasting solution for a brighter smile, professional teeth whitening is the best choice.
