Are you dreaming of a brighter, more confident smile? Vancouver teeth whitening can be a fantastic way to achieve that goal. However, navigating the world of teeth whitening can be tricky. From various treatment options to understanding the underlying causes of tooth discoloration, there’s a lot to consider. This guide will reveal the top 7 secrets to achieving a dazzling white smile in Vancouver, helping you make informed decisions and maximize your results.
7 Secrets for Vancouver Teeth Whitening
Embarking on your teeth whitening journey requires more than just picking a product or treatment. It involves understanding various aspects, from the root causes of discoloration to maintaining your results long-term. This guide unveils seven crucial secrets that will empower you to make the best decisions for your smile. Each secret offers actionable insights to help you achieve and sustain a brighter, more radiant smile in Vancouver.
Secret 1 Understanding Causes of Discoloration
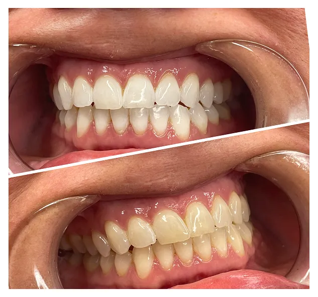
Before diving into whitening treatments, it’s important to understand the culprits behind tooth discoloration. This knowledge will help you prevent future staining and choose the most suitable whitening method. The color of your teeth can be affected by various factors, from the foods and drinks you consume to your lifestyle habits. Being aware of these factors is the first step toward a brighter smile. This includes understanding the different types of stains, such as extrinsic (surface) and intrinsic (internal). By understanding these causes, you can effectively prevent further staining and maintain a whiter smile. (Image: vancouver-teeth-whitening.webp)
Foods and Drinks That Stain Teeth

Certain foods and beverages are notorious for staining teeth. Dark-colored drinks like coffee, tea, and red wine contain tannins, which can bind to the enamel and cause discoloration. Similarly, deeply pigmented foods such as berries, soy sauce, and curries can contribute to staining. Limiting your intake of these items or practicing good oral hygiene after consumption can minimize their impact. Brushing your teeth soon after consuming staining foods and drinks can help prevent the pigments from setting into your teeth. (Image: stained-teeth-causes.webp)
Smoking and Tobacco Use
Smoking and using tobacco products are significant contributors to tooth discoloration. The nicotine and tar in tobacco products stain the teeth, leading to a yellow or brown hue. Additionally, smoking can dry out the mouth, which reduces saliva production, further increasing the risk of staining. Quitting smoking is one of the best things you can do for both your oral health and your overall well-being, including your teeth. The sooner you quit, the sooner you can start seeing improvements in the color of your teeth and the overall health of your mouth.
Secret 2 Professional Whitening Treatments
Professional teeth whitening treatments, offered by dental professionals in Vancouver, provide effective and safe solutions for significantly brightening your smile. These treatments use stronger whitening agents than over-the-counter products, delivering more dramatic results. Professional treatments are also performed under the supervision of a dentist, ensuring the procedure is safe and tailored to your specific needs. There are two main types of professional treatments: in-office whitening and take-home whitening kits. (Image: professional-teeth-whitening.webp)
In-Office Whitening

In-office whitening, also known as chair-side whitening, is a quick and effective way to achieve immediate results. This procedure is performed in a dentist’s office, where a high-concentration whitening gel is applied to your teeth. The dentist may use a special light or laser to enhance the whitening process. In-office treatments usually take about an hour and can lighten your teeth several shades in a single session. This option is ideal for those seeking rapid and noticeable improvements. It’s also great for special events or if you want a significant change quickly.
Take-Home Whitening Kits
Take-home whitening kits provide a more gradual approach to teeth whitening and can be customized to your needs. Your dentist will create custom-fitted trays that fit your teeth perfectly. You’ll fill these trays with a whitening gel and wear them for a specified amount of time each day or night, depending on the product. The dentist will advise you on the duration and frequency of use. Take-home kits offer more flexibility and can be a more budget-friendly option compared to in-office treatments. The gradual approach minimizes sensitivity, and you can control the level of whitening. Following your dentist’s instructions ensures both safety and effectiveness.
Secret 3 The Importance of Oral Hygiene
Maintaining excellent oral hygiene is crucial for maintaining a bright and healthy smile, regardless of whether you undergo teeth whitening. Good oral hygiene practices help remove surface stains and prevent the build-up of plaque and tartar, which can dull your teeth and make them appear darker. A consistent oral hygiene routine, including regular brushing, flossing, and dental check-ups, is key to achieving and maintaining a bright, white smile. By focusing on oral hygiene, you will be supporting your whitening efforts and maintaining good overall dental health. (Image: oral-hygiene-importance.webp)
Brushing and Flossing Regularly

Brushing your teeth at least twice a day with fluoride toothpaste and flossing daily are fundamental steps in maintaining good oral hygiene. Brushing removes food particles, plaque, and surface stains, while flossing removes plaque and food debris from between your teeth and along the gumline, areas that a toothbrush can’t reach. Proper brushing technique, using a soft-bristled toothbrush and gentle circular motions, is vital to avoid damaging your enamel and gums. Flossing also helps prevent gum disease, which can affect the overall appearance of your smile.
Regular Dental Check-ups
Visiting your dentist for regular check-ups and professional cleanings is vital for maintaining a bright smile. During your check-up, your dentist can remove any plaque or tartar build-up that brushing and flossing alone can’t remove. They can also identify and address any potential dental problems early on, such as cavities or gum disease, which can impact your smile’s appearance. Professional cleanings also polish your teeth, further removing surface stains and giving your teeth a polished, bright appearance. Regular dental check-ups are crucial for long-term oral health and a vibrant, white smile. (Image: dental-checkup.webp)
Secret 4 Over-the-Counter Whitening Products
Over-the-counter whitening products offer accessible options for improving the brightness of your smile. These products are readily available at drugstores and supermarkets and provide a convenient way to address surface stains. However, it’s essential to use these products as directed and be aware of their limitations. They often contain lower concentrations of whitening agents compared to professional treatments, so the results may not be as dramatic. Common OTC options include whitening toothpastes, strips, and gels. (Image: whitening-products.webp)
Whitening Toothpastes

Whitening toothpastes are formulated to remove surface stains and improve the brightness of your teeth. They often contain mild abrasives and chemical agents that help polish the teeth and break down stains. While whitening toothpastes can be effective for removing surface stains, they typically cannot change the natural color of your teeth significantly. Consistent use can improve the brightness, especially if used in conjunction with other oral hygiene practices. However, it’s important to choose a toothpaste that is not overly abrasive to avoid damaging your enamel.
Whitening Strips
Whitening strips are thin, flexible strips coated with a whitening gel that you apply directly to your teeth. These strips are easy to use and provide a more concentrated whitening effect than toothpaste. The strips adhere to your teeth, allowing the whitening agent to stay in contact with the enamel for a longer period. Whitening strips are a popular option for improving the brightness of your smile. However, following the instructions carefully is crucial to avoid any potential sensitivity or irritation.
Secret 5 The Role of Diet and Lifestyle
Your diet and lifestyle play a crucial role in both the appearance and health of your teeth. The foods and beverages you consume can significantly impact your teeth’s color, while certain lifestyle choices can contribute to discoloration. Being mindful of what you eat and drink and adopting healthy habits can help you maintain a brighter smile and overall oral health. Your daily choices greatly influence the outcome of your teeth whitening efforts and overall oral health. (Image: teeth-whitening-diet.webp)
Foods That Naturally Whiten Teeth

Incorporating certain foods into your diet can naturally help whiten your teeth. Crunchy fruits and vegetables, such as apples, carrots, and celery, act as natural abrasives that help remove surface stains. Dairy products like milk, yogurt, and cheese contain calcium and phosphate, which can strengthen your enamel and protect your teeth from stains. Drinking plenty of water also helps to wash away food particles and prevent staining. By including these foods in your diet, you can support your whitening efforts and promote a healthier smile.
Avoiding Staining Substances
Limiting your intake of staining substances is essential for maintaining a bright smile. Beverages like coffee, tea, and red wine are notorious for staining teeth due to their high tannin content. Dark-colored foods, such as berries, soy sauce, and curries, can also contribute to discoloration. Smoking and using tobacco products are significant contributors to staining, as well. Reducing your consumption of these items or practicing good oral hygiene after consumption can help prevent stains and keep your teeth looking their best. Making conscious choices about what you eat and drink will significantly improve the longevity of your whitening results.
Secret 6 Maintaining Your Results
Once you achieve your desired level of whiteness, maintaining your results is key. Proper aftercare and lifestyle choices are essential for keeping your smile bright. Following your dentist’s instructions, avoiding staining substances, and maintaining good oral hygiene are all vital steps in ensuring the longevity of your whitening treatment. Consistency and attention to detail will help you enjoy a beautiful, white smile for years to come.
Proper Aftercare

Following proper aftercare instructions is crucial for maintaining the results of your teeth whitening treatment. This may include using a sensitivity toothpaste if recommended by your dentist, avoiding staining foods and drinks for a period after treatment, and attending regular dental check-ups. Avoid tobacco products. Your dentist may provide specific recommendations based on the type of whitening treatment you received. By adhering to these guidelines, you can ensure that your bright smile lasts as long as possible. Be sure to follow your dentist’s instructions carefully.
Avoiding Frequent Staining
To prevent stains from reappearing, it’s important to limit your exposure to staining substances. This includes coffee, tea, red wine, and dark-colored foods. If you consume these items, rinse your mouth with water or brush your teeth shortly afterward. Using a straw when drinking beverages can also help to minimize contact with your teeth. Additionally, quitting smoking is one of the best things you can do to maintain your white smile, as tobacco is a major source of staining. By being mindful of what you eat and drink, you can extend the life of your whitening results.
Secret 7 When to Consult a Dentist
While teeth whitening can be a safe and effective procedure, it’s essential to know when to consult a dentist. Certain situations may require professional attention. Knowing when to seek professional help ensures the safety and effectiveness of any whitening treatment and addresses any underlying dental issues. The expertise of a dental professional is essential to ensure your oral health and the success of your whitening efforts. (Image: teeth-sensitivity.webp)
Sensitivity or Discomfort

If you experience excessive sensitivity or discomfort during or after teeth whitening, it’s crucial to consult your dentist immediately. This can be a sign of an underlying issue or that the whitening process is not suitable for your teeth. Your dentist can assess the cause of the sensitivity and recommend adjustments or alternative treatments. They may recommend a desensitizing toothpaste or reduce the strength of the whitening agent. Addressing sensitivity promptly ensures your comfort and the health of your teeth during the process.
Unsatisfactory Results
If you’re not satisfied with the results of your teeth whitening treatment, consult your dentist. While most treatments are effective, individual results can vary. Your dentist can evaluate your specific situation and determine if there are other options that might be more suitable. They may suggest a different type of whitening treatment, address any underlying dental issues, or recommend alternative cosmetic procedures. Seeking professional advice ensures you achieve the desired outcome while maintaining optimal oral health. Don’t hesitate to discuss your concerns with your dentist; they are there to help you achieve your perfect smile.
Achieving a brighter smile through Vancouver teeth whitening involves a comprehensive approach. From understanding the causes of discoloration to choosing the right treatment and maintaining results, each secret plays a vital role. By following these seven secrets and consulting with dental professionals, you can confidently embark on your journey to a radiant, confident smile. Your journey to a whiter, brighter smile starts with knowledge and informed choices!
