Vancouver Teeth Whitening Costs An Overview
Are you considering teeth whitening in Vancouver but unsure about the cost? This comprehensive guide provides a detailed overview of the expenses associated with achieving a brighter smile in Vancouver. Understanding the factors that influence the price, the different types of treatments available, and how to potentially save money are crucial when making an informed decision. The cost of teeth whitening can vary significantly depending on several elements, ranging from the type of procedure to the expertise of the dentist and the location of the clinic. This guide breaks down all the components, enabling you to plan your budget effectively and select the most suitable option for your needs.
Factors Influencing Teeth Whitening Cost
Several elements contribute to the overall cost of teeth whitening. Understanding these factors will help you to appreciate the price variations you encounter when researching treatments in Vancouver. These elements span from the type of treatment selected to the specific services needed. The expertise and reputation of the dental clinic also play a role. By considering these elements, you can better comprehend why costs differ and make a well-informed choice that suits your requirements and financial constraints. These factors include the type of whitening treatment, the dentist’s expertise, and any additional procedures required before the whitening process.
Type of Whitening Treatment

The method of teeth whitening you select has a major impact on the price. There are primarily two categories professional in-office treatments and at-home whitening kits. Each provides different advantages and price points. The professional treatments are generally more expensive but offer immediate and more dramatic results. At-home kits are a more affordable option, but they necessitate more time and commitment to achieve the desired effect. Understanding the benefits of each choice will help you select the ideal teeth whitening procedure for your preferences and budget.
In-office Whitening
In-office teeth whitening treatments in Vancouver are typically more expensive than at-home alternatives, but they provide a rapid and effective solution. These procedures are performed by experienced dentists who apply high-concentration bleaching agents to the teeth. The procedure often includes isolation of the gums and surrounding soft tissues to prevent irritation. The cost of in-office whitening includes the dentist’s fees, the materials, and the use of specialized equipment, which all contribute to the higher price point. The results are usually visible immediately, offering a significant improvement in the teeth’s brightness in a single appointment, which is a major draw for many individuals.
At-home Whitening Kits
At-home whitening kits offer a cost-effective alternative to in-office procedures. These kits can be obtained over-the-counter or prescribed by a dentist. They contain lower concentrations of bleaching agents and typically require regular use over several weeks to achieve visible results. While the initial cost is lower, the overall price may increase due to the need for regular use and potential for needing multiple kits to achieve the desired outcome. Despite the time investment, at-home kits are a convenient way for people in Vancouver to brighten their smiles at a more manageable cost, fitting into busy schedules.
Professional vs DIY Whitening

The choice between professional and DIY teeth whitening should depend on individual preferences, the budget, and the degree of desired whitening. Professional treatments, performed by a dentist in Vancouver, are a safer and more effective choice for complex cases or when rapid results are a priority. Dentists can evaluate the patient’s oral health and suggest the best treatment plan. DIY options, such as over-the-counter whitening strips or toothpaste, are more affordable and can offer some improvements, but they may not be as effective, and they also carry the risk of adverse effects if not used correctly. Considering these factors will help you to make a decision that aligns with your individual needs and goals.
Dentist Expertise and Location
The dentist’s experience and the clinic’s location in Vancouver can significantly affect the cost of teeth whitening. Highly experienced dentists or those practicing in well-regarded clinics might charge more due to their advanced skills and the quality of their services. Location also influences the price. Clinics in prime areas or those with higher operational costs may have higher fees. Researching the reputation and qualifications of different dentists in Vancouver and comparing the costs in various locations will allow you to find a balance between quality and affordability, guaranteeing you receive great value for your expenditure.
Additional Procedures that Affect Cost
Before teeth whitening, some patients may need additional procedures, which add to the overall cost. These procedures are necessary to ensure the whitening treatment is effective and safe. They include teeth cleaning and dental exams to address any underlying health issues that could impact the process. These extra services are crucial for achieving the best possible results and maintaining good oral health.
Teeth Cleaning

A professional teeth cleaning is often a prerequisite before teeth whitening. Cleaning removes plaque, tartar, and surface stains, ensuring that the whitening agents can penetrate the enamel effectively. The cost of teeth cleaning varies depending on the clinic and the complexity of the cleaning process. Although it adds to the overall expense, cleaning is an essential step for achieving uniform and effective whitening, maximizing the treatment’s impact, and promoting oral health. Many dental practices in Vancouver provide packages that combine cleaning and whitening to streamline the process.
Dental Exam
A dental exam is crucial before teeth whitening to evaluate your oral health. The dentist checks for cavities, gum disease, and other potential problems that could affect the whitening outcome. Addressing any of these issues before whitening guarantees the treatment is safe and effective. The exam includes a visual assessment of your teeth and gums and may involve X-rays. The cost of a dental exam varies, but it is a necessary investment to safeguard your oral health and ensure the teeth whitening is suitable for your needs.
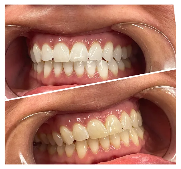
Cost Comparison of Different Whitening Options
Comparing the costs of different teeth whitening options can help you make an informed choice that fits your budget. The price comparison should involve in-office treatments, at-home kits, and other alternatives. This helps you to weigh the pros and cons of each method. Considering the cost, effectiveness, and convenience is essential for selecting the treatment that will provide the best outcomes for your needs. By carefully reviewing the cost breakdowns, you can determine the optimal choice that offers the best value for your money.
In-office Whitening Cost

In-office teeth whitening procedures in Vancouver usually range between $400 and $1,200 or more. The price can vary depending on the clinic, the whitening system used, and the dentist’s expertise. The higher cost typically includes the initial consultation, the application of the bleaching agent, and any additional procedures required. The benefits include immediate results and professional monitoring to ensure the safety and effectiveness of the process. While this method represents a more significant financial commitment, it offers a quick and effective way to significantly enhance your smile in a single visit to the dentist.
At-home Kits Cost
At-home whitening kits are generally a more affordable option compared to in-office treatments. The prices for these kits range from $25 to $200 or more, depending on the type of kit, the concentration of the whitening agent, and the brand. Over-the-counter kits, like strips and trays, are typically less expensive, while custom-fitted trays prescribed by your dentist are usually at the higher end. The cost-effectiveness makes at-home kits a popular choice for individuals in Vancouver who are looking for a more budget-friendly way to brighten their teeth. However, achieving the desired results often requires ongoing use, and it is essential to follow the directions to prevent potential side effects.
Maintenance and Long-Term Costs
After undergoing teeth whitening in Vancouver, maintenance is crucial to preserve the results. This often involves using a maintenance kit and practicing proper oral hygiene, including regular brushing and flossing. The cost of maintenance includes purchasing whitening toothpaste, touch-up kits, and occasional professional cleanings. These ongoing expenses help extend the life of your brighter smile. Regular dental checkups are also important for maintaining your oral health and addressing any new stains or discoloration. Consistent maintenance ensures your investment in teeth whitening continues to pay off over time.
Tips for Saving Money on Teeth Whitening in Vancouver

Saving money on teeth whitening in Vancouver is possible by following a few smart strategies. Comparing costs from different dental clinics and checking for special offers or discounts can help you find a more affordable option. Considering at-home kits is another effective way to reduce expenses. Maintaining good oral hygiene, including regular brushing and flossing, can prevent stains and extend the life of your whitening results, minimizing the need for frequent touch-ups. Also, some dental schools offer whitening services at reduced costs under the supervision of experienced dentists. These strategies can make teeth whitening more accessible without sacrificing quality.
In conclusion, understanding the costs involved in teeth whitening in Vancouver is essential for planning your budget and making an informed choice. By understanding the factors that affect the price, comparing the available treatments, and knowing how to save money, you can effectively achieve a brighter smile without overspending. Proper research and consideration of your specific needs will help you find the best teeth whitening solution for you.
