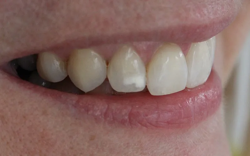
What are White Spots after Teeth Whitening?
Teeth whitening is a popular cosmetic procedure designed to brighten your smile. However, sometimes, after undergoing this treatment, patients notice the appearance of white spots on their teeth. These spots, which can range in size and prominence, often cause concern. Understanding the causes behind these spots is the first step in addressing them effectively. This article delves into the top reasons why these white spots might appear after teeth whitening, providing insights into the science behind them and discussing various management strategies.
The Science Behind White Spots
The appearance of white spots after teeth whitening often relates to changes in the tooth enamel. Enamel, the hard, protective outer layer of your teeth, has a porous structure. When exposed to whitening agents, the enamel can react in various ways, potentially leading to the formation of these spots. These spots are essentially areas where the enamel has either become more porous, experienced a localized loss of minerals, or has been affected by pre-existing conditions. Understanding the science behind these changes is crucial to comprehending why white spots develop and how they can be treated.
Enamel Demineralization (Reason 1)

Enamel demineralization is a primary cause of white spots. This process occurs when the enamel loses minerals, such as calcium and phosphate, due to acid exposure or other factors. During teeth whitening, the bleaching agents, such as hydrogen peroxide or carbamide peroxide, can temporarily increase the porosity of the enamel. This increased porosity can cause the enamel to appear less dense in certain areas, leading to white spots. The severity of demineralization can vary depending on the concentration of the whitening agent, the duration of the treatment, and individual tooth characteristics.
What Causes Enamel Demineralization?
Several factors contribute to enamel demineralization. The most common cause is acid erosion, often from acidic foods and drinks. Poor oral hygiene, including infrequent brushing and flossing, can also accelerate the process. Additionally, certain medical conditions or medications can make the enamel more susceptible to demineralization. In the context of teeth whitening, the whitening agents themselves can temporarily exacerbate this effect, particularly if used excessively or incorrectly.
Preventing Enamel Demineralization
Preventing enamel demineralization involves several steps. First, practice good oral hygiene: brush your teeth twice a day with fluoride toothpaste and floss daily. Second, limit the consumption of acidic foods and drinks, such as citrus fruits, soda, and coffee. Consider using a fluoride rinse to strengthen the enamel. When undergoing teeth whitening, follow the dentist’s instructions carefully and avoid overuse of whitening products. Discuss your oral health history with your dentist to identify any pre-existing conditions that might increase your risk of demineralization.
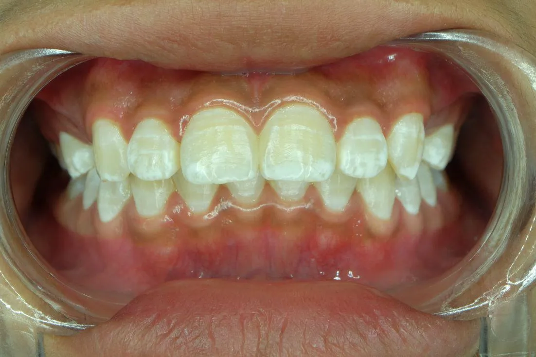
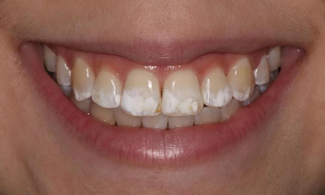
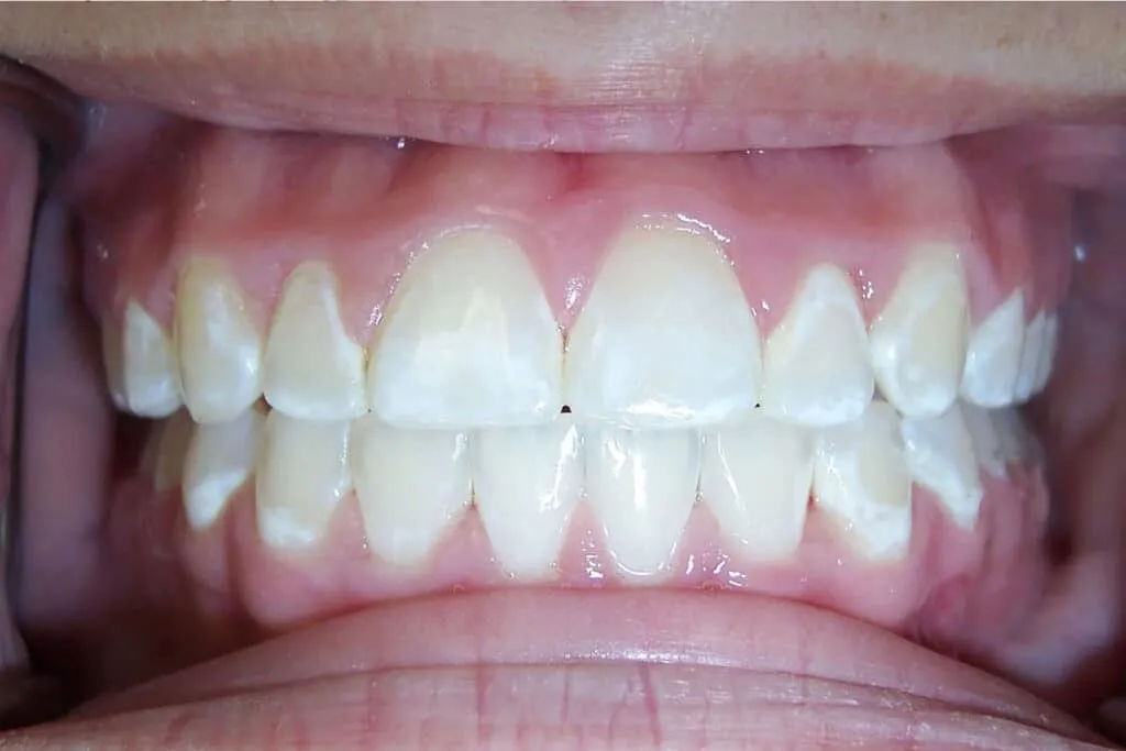
Fluorosis (Reason 2)

Fluorosis, a condition caused by excessive fluoride exposure during tooth development, is another significant contributor to white spots. Fluoride, while beneficial for strengthening teeth, can lead to fluorosis if ingested in high amounts, especially during childhood. The resulting white spots vary from barely noticeable streaks to more prominent, discolored patches. Teeth whitening can make these spots more visible because the surrounding enamel becomes brighter, accentuating the contrast.
What is Fluorosis and How Does It Cause White Spots?
Fluorosis arises when children consume too much fluoride, typically from sources like fluoridated water or excessive use of fluoride toothpaste. Fluoride disrupts the enamel formation process, leading to porous, less mineralized areas. These areas appear as white spots or streaks on the teeth. The severity of fluorosis depends on the amount and duration of fluoride exposure during tooth development. Mild cases may present only slight white spots, while severe cases can cause brown discoloration and pitting of the enamel.
How to Manage Fluorosis-Related White Spots
Managing fluorosis-related white spots often involves cosmetic treatments. Microabrasion, which removes a thin layer of enamel, can reduce the appearance of the spots. In more severe cases, veneers or crowns may be necessary to cover the affected areas. For milder cases, your dentist may recommend re-mineralization treatments or home care regimens using fluoride to strengthen the enamel and minimize the contrast between the spots and the surrounding tooth surface.
Improper Whitening Technique (Reason 3)

Incorrect teeth whitening techniques can also lead to white spots. Uneven application of whitening agents or using products that are too strong for the individual’s tooth sensitivity can cause localized enamel dehydration. This dehydration makes certain areas appear whiter than others, resulting in the uneven appearance of spots. It is crucial to follow the dentist’s instructions carefully and avoid practices that could lead to uneven whitening or excessive enamel exposure to bleaching agents.
The Correct Way to Whiten Teeth
The correct teeth whitening technique includes a thorough dental examination to assess oral health and suitability for whitening. Professional treatments involve the application of a high-concentration whitening agent by a dentist, ensuring even coverage and monitoring for any adverse reactions. At-home whitening kits should be used as directed, typically involving custom-fitted trays to ensure even application and prevent gum irritation. Regular dental check-ups during and after the whitening process are essential to monitor progress and address any issues promptly. It is also critical to avoid over-whitening, which can lead to increased sensitivity and uneven results.
Sensitivity and White Spots
Teeth sensitivity is a common side effect of teeth whitening. It can be linked to the appearance of white spots. As the whitening agents penetrate the enamel, they can irritate the tooth’s nerve endings, leading to increased sensitivity. If white spots are present, they might be more sensitive than the surrounding areas due to their increased porosity. Addressing sensitivity often involves using desensitizing toothpaste containing potassium nitrate or fluoride, as well as avoiding excessively hot or cold foods and drinks. Your dentist can provide specific advice on managing sensitivity during and after whitening.
Pre-existing Conditions (Reason 4)

Pre-existing conditions of your teeth, such as enamel hypoplasia or other developmental defects, can also contribute to the formation of white spots after teeth whitening. These conditions affect the enamel’s structure and density, making certain areas more prone to absorbing whitening agents differently. Consequently, these areas may appear whiter than the surrounding tooth surface. Understanding these underlying conditions is vital for anticipating and managing the potential effects of teeth whitening.
What are Pre-existing Conditions?
Pre-existing conditions that can affect the teeth include enamel hypoplasia, which results in a thinner or less mineralized enamel layer. Another is enamel hypocalcification, which causes the enamel to have insufficient calcium. Other conditions like dental fluorosis, as mentioned before, can also cause white spots. These pre-existing conditions make the teeth more vulnerable to the effects of whitening agents, potentially leading to uneven results or accentuating pre-existing imperfections.
Dealing with Pre-existing Conditions during Whitening
Dealing with pre-existing conditions during teeth whitening involves a comprehensive approach. Before whitening, a dentist must perform a thorough examination to identify any enamel defects or other issues. The dentist can then advise on the most suitable whitening method and the appropriate strength of the whitening agent. In some cases, professional whitening might be less suitable, and alternative cosmetic treatments, such as veneers or composite bonding, might be recommended to achieve the desired aesthetic outcome. It’s crucial to communicate your dental history and any concerns to your dentist before proceeding with teeth whitening.
How to Treat White Spots

Treating white spots after teeth whitening depends on their cause and severity. In many cases, the spots are temporary and diminish over time as the enamel re-mineralizes. Other options are available for more persistent or noticeable spots. The choice of treatment also depends on individual preferences, budget, and the dentist’s recommendations.
Re-mineralization Treatments
Re-mineralization treatments help restore minerals to the enamel. These can include the use of fluoride-containing products such as toothpaste, mouth rinses, or professional fluoride applications. These treatments strengthen the enamel and can help reduce the visibility of white spots by promoting the re-absorption of minerals and making the enamel more uniform in appearance. Remineralization is often a first-line approach, especially for less severe cases.
Cosmetic Solutions for White Spots (Reason 5)
For more noticeable white spots, cosmetic solutions can be considered to improve the teeth’s appearance. These treatments aim to cover or minimize the spots, offering a more permanent solution. Your dentist will evaluate the severity and the aesthetic goals to recommend the appropriate treatment.
Microabrasion

Microabrasion is a cosmetic procedure that involves removing a thin layer of enamel using a mild abrasive substance. This process can reduce or eliminate superficial white spots. It’s often suitable for mild to moderate cases of fluorosis or other enamel imperfections. Microabrasion is a less invasive option than more extensive cosmetic treatments and can be effective for improving the overall appearance of the teeth. The dentist carefully controls the abrasive material to remove the affected enamel while preserving the healthy tooth structure.
Veneers
Veneers are thin, custom-made shells that are bonded to the front surface of the teeth. They are an option for more severe cases of white spots or those caused by pre-existing conditions that can’t be addressed with microabrasion or re-mineralization. Veneers are made of porcelain or composite resin and are designed to match the natural color and shape of the teeth. They effectively cover the white spots, providing a more uniform and aesthetically pleasing appearance. Veneers are a more permanent solution, but they involve some enamel removal and require a commitment to proper oral hygiene.
Concluding Thoughts on Teeth Whitening and White Spots
White spots after teeth whitening can be concerning, but they are often treatable. By understanding the various causes—including enamel demineralization, fluorosis, improper techniques, and pre-existing conditions—you can take steps to prevent or manage them. If you notice white spots after teeth whitening, consult your dentist for a professional evaluation and personalized treatment plan. Whether through re-mineralization treatments, microabrasion, or more advanced cosmetic solutions like veneers, there are many ways to restore your smile and confidence. Regular dental check-ups and good oral hygiene are key to maintaining a healthy and beautiful smile. Remember to always discuss your concerns and expectations with your dentist before undergoing any cosmetic dental procedure.
