Teeth Whitening Side Effects Overview
Teeth whitening has become a popular cosmetic procedure, with various methods available, including over-the-counter products and professional treatments. While these procedures can significantly enhance your smile, it is essential to be aware of the potential side effects. Understanding these effects ensures you can make informed decisions and take necessary precautions to maintain your oral health. This article explores the top 5 side effects associated with teeth whitening, particularly when using hydrogen peroxide, a common ingredient in many whitening products. Whether you’re considering at-home kits or professional treatments, knowing these risks will help you achieve a brighter smile safely and effectively. Furthermore, knowledge on how to mitigate those effects is an integral part of your journey toward a more confident smile.
Tooth Sensitivity
Tooth sensitivity is one of the most frequently reported side effects of teeth whitening. This occurs when the whitening agents, such as hydrogen peroxide, penetrate the enamel and reach the dentin, which contains microscopic tubules that lead to the tooth’s nerve. This can cause sharp, temporary pain or discomfort when exposed to hot, cold, sweet, or acidic foods and drinks. The severity of sensitivity varies from person to person, depending on factors such as the concentration of the whitening agent, the duration of application, and the individual’s existing dental condition. People with pre-existing sensitivity, receding gums, or cracked teeth may experience more significant discomfort. Understanding this side effect is crucial for managing and minimizing its impact.
Causes of Tooth Sensitivity

The primary cause of tooth sensitivity during teeth whitening is the peroxide-based bleaching agents. These agents break down into molecules that enter the enamel and dentin. This process irritates the tooth’s nerve, leading to sensitivity. Higher concentrations of hydrogen peroxide, often found in professional treatments, can increase the likelihood and severity of sensitivity. Additionally, products with a lower pH can exacerbate sensitivity because they make the teeth more porous, allowing the whitening agent to penetrate more deeply. Furthermore, the duration of treatment also plays a role; longer exposure times increase the chances of experiencing sensitivity. Finally, individual factors, such as the natural thickness of enamel and the presence of any existing dental issues, can influence how sensitive a person’s teeth become during whitening.
Managing Tooth Sensitivity
Several strategies can help manage tooth sensitivity during and after teeth whitening. Using a toothpaste specifically designed for sensitive teeth, which contains ingredients like potassium nitrate, can help block the tubules and reduce nerve irritation. Avoiding very hot or cold foods and beverages can also minimize discomfort. Moreover, dentists may recommend applying fluoride treatments, which can strengthen enamel and further reduce sensitivity. Another option is to take breaks between whitening sessions to allow teeth to recover. If sensitivity becomes severe, it is crucial to consult a dentist, who may adjust the treatment plan, reduce the concentration of the whitening agent, or recommend alternative whitening methods. By implementing these strategies, you can significantly reduce the impact of tooth sensitivity and still achieve your desired results.
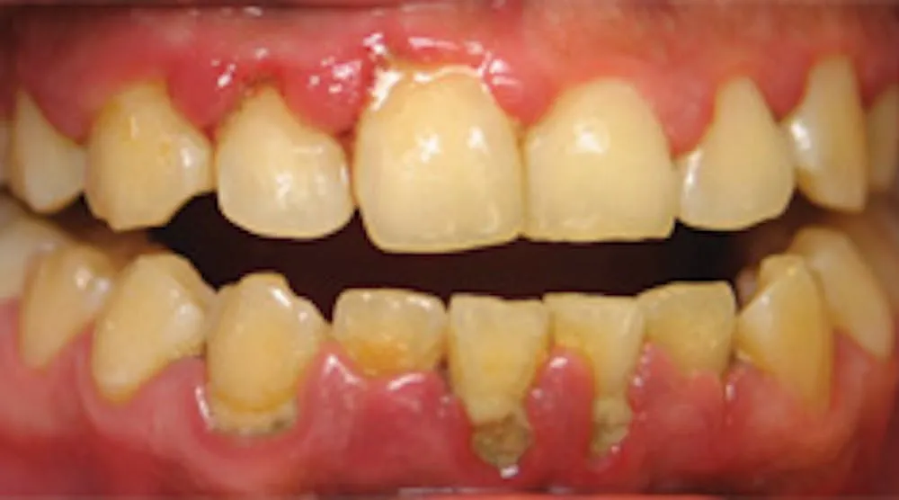
Gum Irritation
Gum irritation is another common side effect of teeth whitening, especially when using products containing hydrogen peroxide. This irritation, also known as gingivitis, can range from mild discomfort to significant inflammation and soreness. It often results from the whitening agent coming into direct contact with the gums. This is more likely to occur when using poorly fitted trays, overfilling trays, or products that are not used according to instructions. The high concentration of peroxide in some whitening products can cause chemical burns to the soft tissues of the gums, leading to redness, swelling, and even blistering. Proper application techniques and the use of well-fitting trays are crucial to minimizing this risk and ensuring a comfortable whitening experience. Taking the necessary precautions will lead to better outcomes overall.
Symptoms of Gum Irritation

The symptoms of gum irritation can vary in severity. Mild irritation may manifest as a slight tingling sensation or minor redness along the gumline. More severe cases can involve significant swelling, pain, and bleeding. The gums might appear raw or inflamed, and in some instances, small ulcers or blisters can develop. The irritated area might be tender to the touch, making it difficult to brush or floss properly. If you experience these symptoms, it’s essential to stop the whitening treatment immediately and assess the situation. The duration and intensity of the irritation depend on factors such as the concentration of the whitening agent, the duration of contact with the gums, and individual sensitivity. Recognizing these symptoms early allows you to take prompt action to alleviate discomfort and prevent further complications. Early diagnosis and treatment are essential.
Preventing Gum Irritation
Preventing gum irritation during teeth whitening involves several key strategies. Using custom-fitted whitening trays, obtained from a dentist, is crucial to ensure the whitening agent does not leak onto the gums. Following the product instructions meticulously is also essential, including not overfilling the trays and adhering to the recommended application time. Rinsing your mouth thoroughly after each whitening session removes any residual product that could cause irritation. Additionally, it is wise to avoid whitening if you have pre-existing gum disease or other oral health issues without first consulting your dentist. Some dentists provide a protective barrier for the gums before the procedure. If you do experience irritation, stop the treatment and consult your dentist for advice. Taking these precautions significantly reduces the risk of gum irritation and helps ensure a comfortable and safe whitening experience. Taking steps to prevent any issues beforehand can save a lot of discomfort later.
Enamel Damage
While teeth whitening is generally safe, there’s a potential risk of enamel damage, especially with improper use or overuse of whitening products. Enamel, the outermost layer of the tooth, is the hardest substance in the human body, but it can be weakened by excessive exposure to strong chemicals like hydrogen peroxide. This can lead to increased porosity and demineralization, making the teeth more susceptible to decay, staining, and sensitivity. The extent of enamel damage depends on factors like the concentration of the whitening agent, the duration of treatment, and individual oral health. It is essential to understand these risks to make informed decisions and take necessary precautions to protect your enamel while achieving a brighter smile. Regular dental check-ups and following professional advice are essential.
How Hydrogen Peroxide Affects Enamel

Hydrogen peroxide, the primary active ingredient in most teeth whitening products, works by oxidizing the stains on your teeth. While this process effectively removes discoloration, it can also affect the enamel. High concentrations of hydrogen peroxide and prolonged exposure can break down the protein matrix of the enamel, leading to its demineralization. This process makes the enamel more porous and susceptible to further damage. It can also reduce the mineral density of the enamel, making it weaker and more vulnerable to erosion from acids in food and drinks. This damage may not always be immediately noticeable, but over time, it can contribute to increased tooth sensitivity, decay, and a duller appearance. Proper usage and adherence to professional guidance are crucial to minimizing the risk of enamel damage.
Protecting Enamel During Whitening
Protecting enamel during teeth whitening involves several measures. Using products with a lower concentration of hydrogen peroxide can reduce the risk of damage. Following the product instructions precisely, including the recommended duration of use, is critical. Applying a remineralizing toothpaste containing fluoride can help strengthen the enamel by restoring lost minerals. Avoiding acidic foods and drinks, like citrus fruits and soda, during and after whitening can prevent further erosion of the enamel. Regular dental check-ups are also essential, as your dentist can assess your enamel health and recommend appropriate treatments, such as fluoride varnish, to protect it. Furthermore, consider using whitening products under the guidance of a dentist to ensure the treatment is safe and effective for your specific needs. Consistent maintenance is important.
Uneven Whitening
Uneven whitening is a common side effect where some teeth, or parts of teeth, become significantly lighter than others. This can result in an inconsistent and less aesthetically pleasing outcome. Several factors contribute to this issue, including variations in tooth structure, the presence of existing dental work, and improper application of whitening products. Some teeth might be naturally more resistant to whitening than others, while others may have deeper stains that are more difficult to remove. Understanding the causes of uneven whitening can help you take steps to minimize this effect and achieve a more uniform, brighter smile. It is important to remember that consistency is a major factor in the outcome of teeth whitening.
Factors Contributing to Uneven Whitening

Several factors can contribute to uneven whitening results. The natural variation in tooth enamel thickness and porosity plays a significant role; some teeth absorb the whitening agent more effectively than others. The presence of existing dental work, such as fillings, crowns, and veneers, can also lead to unevenness because these materials do not whiten in the same way as natural teeth. The type and severity of stains also influence the outcome; surface stains generally respond better than intrinsic stains. Additionally, improper application of the whitening product, such as inconsistent coverage or uneven tray fitting, can result in some areas of teeth being exposed to the agent for longer than others. Another factor to consider is the presence of certain medications or medical conditions that can affect tooth color and response to whitening. Recognizing these factors will help you to avoid any further issues.
Addressing Uneven Results
Addressing uneven whitening may involve several strategies. Consulting with your dentist is the first step. They can evaluate the cause of unevenness and recommend appropriate solutions. For some cases, additional whitening sessions may be sufficient to achieve a more uniform result. However, if the unevenness is due to dental work, your dentist may suggest cosmetic options such as replacing or matching the existing dental work with a whiter shade. Professional whitening treatments, performed in a dental office, often provide more controlled and even results. Another option is to use custom-fitted whitening trays under professional supervision to ensure even application. For severe cases, treatments like veneers or bonding might be considered to create a consistently bright smile. The most effective solution will depend on the specific cause and severity of the unevenness, and a dentist’s expertise is crucial in determining the best approach.
Allergic Reactions
While rare, allergic reactions can occur with teeth whitening products. These reactions can vary in severity, ranging from mild skin irritation to more serious systemic responses. The ingredients in whitening products, particularly hydrogen peroxide, can trigger allergic responses in sensitive individuals. It is important to be aware of these risks and to know how to identify the symptoms of an allergic reaction and what steps to take if one occurs. Consulting your dentist before beginning any teeth whitening treatment will help mitigate some of those risks. For those who have experienced allergies, consulting with a physician may be helpful for determining if any whitening procedures would be applicable.
Identifying Allergic Reactions

Identifying allergic reactions involves recognizing specific symptoms. Common signs include itching, redness, and swelling of the gums, lips, or inside of the mouth. Some individuals may experience a rash around the mouth or face. In more severe cases, an allergic reaction can cause difficulty breathing, throat swelling, and hives. If you notice any of these symptoms after using a teeth whitening product, it is essential to stop using the product immediately. Mild reactions often resolve on their own within a few days, but more severe reactions require prompt medical attention. It is important to monitor for symptoms and seek help if you notice an adverse reaction to the procedure.
Seeking Medical Attention
If you suspect you are experiencing an allergic reaction to a teeth whitening product, it’s crucial to seek medical attention promptly. For mild reactions, such as minor itching or redness, you may consider taking an over-the-counter antihistamine to alleviate the symptoms. However, if you experience more severe symptoms, such as difficulty breathing, throat swelling, or hives, seek immediate medical help. Contact your dentist or visit an emergency room. Bring the product packaging with you so healthcare professionals can identify the ingredients that might be causing the reaction. A doctor can provide appropriate treatment, which may include antihistamines, corticosteroids, or epinephrine, depending on the severity of the reaction. Prioritizing your health and seeking medical help when needed is essential for managing allergic reactions effectively.
Conclusion
Teeth whitening can dramatically improve your smile, but understanding the potential side effects is crucial. From tooth sensitivity and gum irritation to enamel damage, being aware of these risks allows you to make informed decisions and take necessary precautions. While hydrogen peroxide is a common and effective whitening agent, its use can come with certain drawbacks. Using the products as directed, consulting with your dentist, and maintaining good oral hygiene are key to minimizing these risks and achieving a brighter, healthier smile. By knowing what to expect and how to manage any adverse effects, you can enjoy the benefits of teeth whitening with confidence. Seeking professional advice is invaluable.
