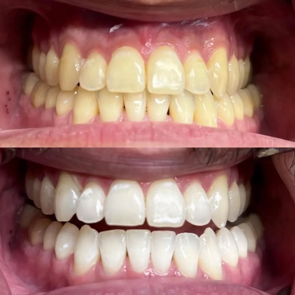
What is Teeth Whitening in a Dentist Office
Teeth whitening at a dentist’s office, also known as professional teeth whitening, is a cosmetic dental procedure designed to lighten the color of your teeth and remove stains and discoloration. Unlike over-the-counter whitening products, which typically contain lower concentrations of bleaching agents, professional whitening uses stronger solutions and techniques to achieve dramatic results in a shorter amount of time. This process involves applying a bleaching agent, usually hydrogen peroxide, to the surface of the teeth. The dentist then uses special lights or lasers to accelerate the whitening process, breaking down stains and discoloration to reveal a brighter, more radiant smile. This is one of the most popular cosmetic dental procedures, and for good reason.
Understanding Teeth Discoloration
Teeth discoloration can occur due to various factors, both intrinsic (internal) and extrinsic (external). Extrinsic stains affect the surface of the tooth and are often caused by the consumption of certain foods and drinks, such as coffee, tea, red wine, and berries. Smoking and tobacco use are also major contributors to extrinsic staining. Intrinsic stains, on the other hand, originate from within the tooth structure. These can be caused by aging, genetics, certain medications (like tetracycline), excessive fluoride exposure during childhood, or trauma to the tooth. Understanding the type of discoloration you have is the first step in determining the best teeth whitening treatment option. A dentist can properly assess the cause and suggest the most effective solution for your unique situation.
Causes of Teeth Staining

Teeth staining has several causes. As mentioned before, the consumption of certain foods and beverages, such as coffee, tea, and red wine, can lead to extrinsic stains. These dark-colored substances contain chromogens, which are pigment-producing substances that adhere to the tooth enamel. Tobacco use is another significant culprit, as it contains nicotine and tar, which can stain teeth yellow or brown. Intrinsic stains can arise from internal sources such as aging, genetics, certain medications, trauma, and excessive fluoride exposure. Certain medical treatments and conditions can also cause discoloration. Knowing the cause of your teeth stains is crucial for developing an effective treatment plan. Professional teeth whitening can effectively address most types of staining, providing a brighter, more confident smile.
Benefits of Teeth Whitening in Dentist Office
Professional teeth whitening offers numerous advantages over at-home methods. Not only does it provide faster and more dramatic results, but it is also safer and more effective under the supervision of a dental professional. Dentist-supervised whitening ensures the process is tailored to your specific needs and oral health. In this section, we will be focusing on the top 5 benefits that highlight why this is the best option.
Benefit 1 Enhanced Confidence
One of the most significant benefits of teeth whitening is the boost in self-esteem and confidence. A bright, white smile can make you feel more attractive and approachable, leading to increased confidence in social and professional settings. Studies have shown that people with whiter teeth often feel more self-assured and are perceived as more successful. The visual improvement achieved through professional teeth whitening can have a profound impact on your overall well-being, making you more likely to smile and engage with others. This positive effect often extends to various areas of your life, helping you feel more comfortable and confident in your daily interactions.
Benefit 2 Professional Results

Dentist-provided teeth whitening offers superior results compared to over-the-counter products. Dentists use stronger, professional-grade bleaching agents that can penetrate deeper into the tooth enamel to remove stains and discoloration more effectively. This results in a significantly brighter smile in a much shorter time. The controlled environment of a dental office also ensures that the whitening process is performed safely and evenly. The dentist can customize the treatment based on your specific needs and the severity of your staining. This personalized approach guarantees optimal results, giving you a dazzling, long-lasting smile. Professional whitening also ensures your teeth and gums are healthy enough to undergo the procedure.
Benefit 3 Safety and Expertise
Safety is a paramount concern when it comes to cosmetic procedures, and teeth whitening is no exception. When you choose professional teeth whitening, you are entrusting your smile to a trained and experienced dentist. Dentists are experts in oral health and are equipped to identify and address any potential issues or risks associated with the whitening process. They can assess your teeth and gums to ensure they are healthy enough for the treatment and can take precautions to protect your gums and soft tissues from irritation. They can also address any sensitivity you might experience during or after the treatment. This level of expertise ensures that your teeth whitening experience is safe, comfortable, and effective.
Benefit 4 Long-Lasting Effects
Professional teeth whitening often provides longer-lasting results compared to at-home treatments. The stronger bleaching agents used in the dentist’s office can penetrate deeper into the enamel, removing stains more effectively. While the effects of teeth whitening are not permanent, they can last for several months or even years, depending on your lifestyle and oral hygiene habits. The dentist can also provide you with instructions on how to maintain your white smile, including recommendations for avoiding stain-causing foods and drinks. Periodic touch-up treatments may be recommended to keep your teeth looking their best. With proper care, you can enjoy a bright, beautiful smile for an extended period.
Benefit 5 Personalized Treatment

One of the major advantages of professional teeth whitening is the personalized approach offered by dentists. Before the procedure, your dentist will conduct a thorough examination of your teeth and gums to assess your oral health and determine the cause and extent of your discoloration. Based on this assessment, the dentist can tailor the whitening treatment to your specific needs. This may involve adjusting the concentration of the bleaching agent, the duration of the treatment, or the use of special lights or lasers to enhance the whitening effect. This individualized approach ensures that you receive the most effective and safest treatment possible. It also allows the dentist to address any existing dental issues or concerns you may have, providing a comprehensive solution for a brighter, healthier smile.
The Teeth Whitening Procedure at the Dentist
The process of teeth whitening at the dentist’s office is typically straightforward and relatively quick. However, it is crucial to understand the steps involved to know what to expect and ensure a smooth, comfortable experience. The procedure usually involves an initial consultation, the whitening process itself, and some post-whitening care instructions. Let’s break down each of these key phases.
Pre-Whitening Consultation
The pre-whitening consultation is a vital first step. During this appointment, your dentist will examine your teeth and gums to assess your overall oral health. They will look for any existing dental issues, such as cavities or gum disease, which may need to be addressed before the whitening procedure. The dentist will also discuss your goals and expectations for the whitening treatment, explaining the potential results and any limitations. They will take photographs of your teeth to document your current shade and use them to compare your results. The consultation also involves discussing your medical history, allergies, and any medications you are taking to ensure the treatment is safe for you. This is an opportunity to ask questions and voice any concerns you may have.
The Whitening Process

Once your dentist determines that you are a suitable candidate for teeth whitening, the actual procedure will begin. First, a protective barrier, such as a cheek retractor and a rubber shield, will be placed to protect your gums and soft tissues. The dentist will then apply a professional-grade bleaching agent to the surface of your teeth. This is typically a hydrogen peroxide-based gel. In some cases, a special light or laser may be used to accelerate the whitening process, enhancing the bleaching effect. The gel will be left on your teeth for a specific period, usually around 15-30 minutes, and then removed. The process may be repeated several times during a single session to achieve the desired results. After the final application, your dentist will rinse your teeth and may apply a fluoride treatment to help reduce any sensitivity.
Post-Whitening Care
After your teeth whitening treatment, your dentist will provide you with detailed post-whitening care instructions. These instructions are essential for maintaining your results and minimizing any potential side effects, such as tooth sensitivity. You will likely be advised to avoid certain foods and drinks that can stain your teeth, such as coffee, tea, red wine, and berries, for at least a few days. You may also be instructed to use a toothpaste specifically designed for sensitive teeth. It is crucial to practice good oral hygiene, including brushing twice a day and flossing daily, to remove any surface stains. The dentist may also recommend touch-up treatments or at-home whitening kits to help you maintain your brighter smile. Following these guidelines will help you enjoy the benefits of your teeth whitening for a long time.
Alternatives to Teeth Whitening
While teeth whitening is a popular and effective cosmetic procedure, it is not the only option available for improving the appearance of your smile. Other treatments can address different types of discoloration or provide alternative solutions for those who may not be suitable candidates for whitening. Understanding the alternatives can help you make an informed decision about the best way to achieve your desired results. This section will look at alternative methods to explore.
Over-the-Counter Whitening Products

Over-the-counter (OTC) whitening products, such as whitening toothpaste, strips, and gels, are readily available in drugstores and supermarkets. These products typically contain lower concentrations of bleaching agents than professional treatments. Whitening toothpastes often contain abrasive agents that help remove surface stains but may not significantly lighten the overall tooth color. Whitening strips and gels can be more effective, as they contain higher concentrations of bleaching agents and are applied directly to the teeth. However, OTC products may not be as effective for deep stains or severe discoloration. They also come with a higher risk of sensitivity and irritation. It is always best to consult your dentist before using any OTC whitening product to ensure it is safe and suitable for your teeth and gums.
Teeth Whitening with Veneers
Dental veneers are thin, custom-made shells that are bonded to the front surface of your teeth. They are designed to improve the appearance of your smile by correcting issues such as discoloration, chips, cracks, and gaps. Veneers are typically made from porcelain or composite resin, and they can be matched to any shade of white. They are a more permanent solution than teeth whitening. Veneers can be an excellent option for individuals with severe staining or discoloration that cannot be effectively treated with whitening. They are also a good choice for those seeking to improve the overall shape and appearance of their teeth. However, veneers are a more invasive procedure and typically involve some tooth preparation. It is important to discuss your options with your dentist to determine the best treatment for your needs.
Maintaining Your White Smile
After investing in teeth whitening, it’s essential to take steps to maintain your brighter, whiter smile. Proper oral hygiene and lifestyle choices play a crucial role in preserving your results and preventing future staining. By following these tips, you can enjoy the benefits of your teeth whitening treatment for an extended period. This section will focus on ways to maintain that bright smile.
Good Oral Hygiene Practices

Maintaining good oral hygiene is fundamental for keeping your teeth white and healthy. Brush your teeth at least twice a day for two minutes each time, using a soft-bristled toothbrush and fluoride toothpaste. Floss daily to remove plaque and food particles from between your teeth and along the gumline. Consider using an antibacterial mouthwash to further reduce bacteria and freshen your breath. These habits can help remove surface stains and prevent the buildup of plaque and tartar, which can contribute to discoloration. Consistent oral hygiene also protects against dental cavities and gum disease, which can negatively impact the appearance of your smile.
Regular Dental Check-ups
Regular dental check-ups and professional cleanings are essential for maintaining a white smile. During your check-up, the dentist will examine your teeth and gums for any signs of dental problems. A professional cleaning by a dental hygienist will remove plaque and tartar that brushing and flossing cannot reach. These cleanings not only help to keep your teeth looking their best, but also help to detect and treat any potential issues early on, preventing further staining or damage. The dentist may also provide recommendations for maintaining your results and address any questions or concerns you may have. Scheduling regular check-ups, usually every six months, is a proactive step in protecting your smile and overall oral health.
Foods and Drinks to Avoid
Certain foods and drinks can stain your teeth and diminish the results of teeth whitening. To maintain your white smile, it is important to limit or avoid these staining agents. Coffee, tea, red wine, and dark-colored sodas are notorious for staining teeth. Berries, such as blueberries and raspberries, and other brightly colored foods can also contribute to discoloration. Smoking and tobacco use are major culprits in tooth staining and should be avoided. When consuming these foods and drinks, consider using a straw to minimize contact with your teeth, and rinse your mouth with water afterward. Maintaining a balanced diet with plenty of water and crunchy vegetables can help keep your teeth clean and healthy.
Conclusion
Teeth whitening at a dentist’s office offers a safe, effective, and convenient way to achieve a brighter, more confident smile. With its numerous benefits, from enhanced confidence to personalized treatment, it’s a popular choice for those looking to improve their appearance. Understanding the causes of teeth discoloration, the professional whitening process, and the available alternatives empowers you to make an informed decision. By following post-whitening care instructions and maintaining good oral hygiene, you can enjoy your dazzling smile for years to come. If you are considering teeth whitening, consult with your dentist to discuss your options and determine the best approach for your needs.
