Spotty Teeth After Whitening The 5 Main Causes
Achieving a brighter smile is a common goal, and teeth whitening treatments are often the go-to solution. However, sometimes after whitening, you might notice uneven or spotty results, which can be quite disheartening. Understanding the underlying causes of spotty teeth after whitening is essential for addressing the issue and achieving the desired outcome. This article will explore the five main reasons why your teeth might appear spotty after whitening, providing insights into each cause and offering potential solutions. From product application issues to pre-existing dental conditions and lifestyle choices, we’ll cover everything you need to know to understand and tackle this common problem.
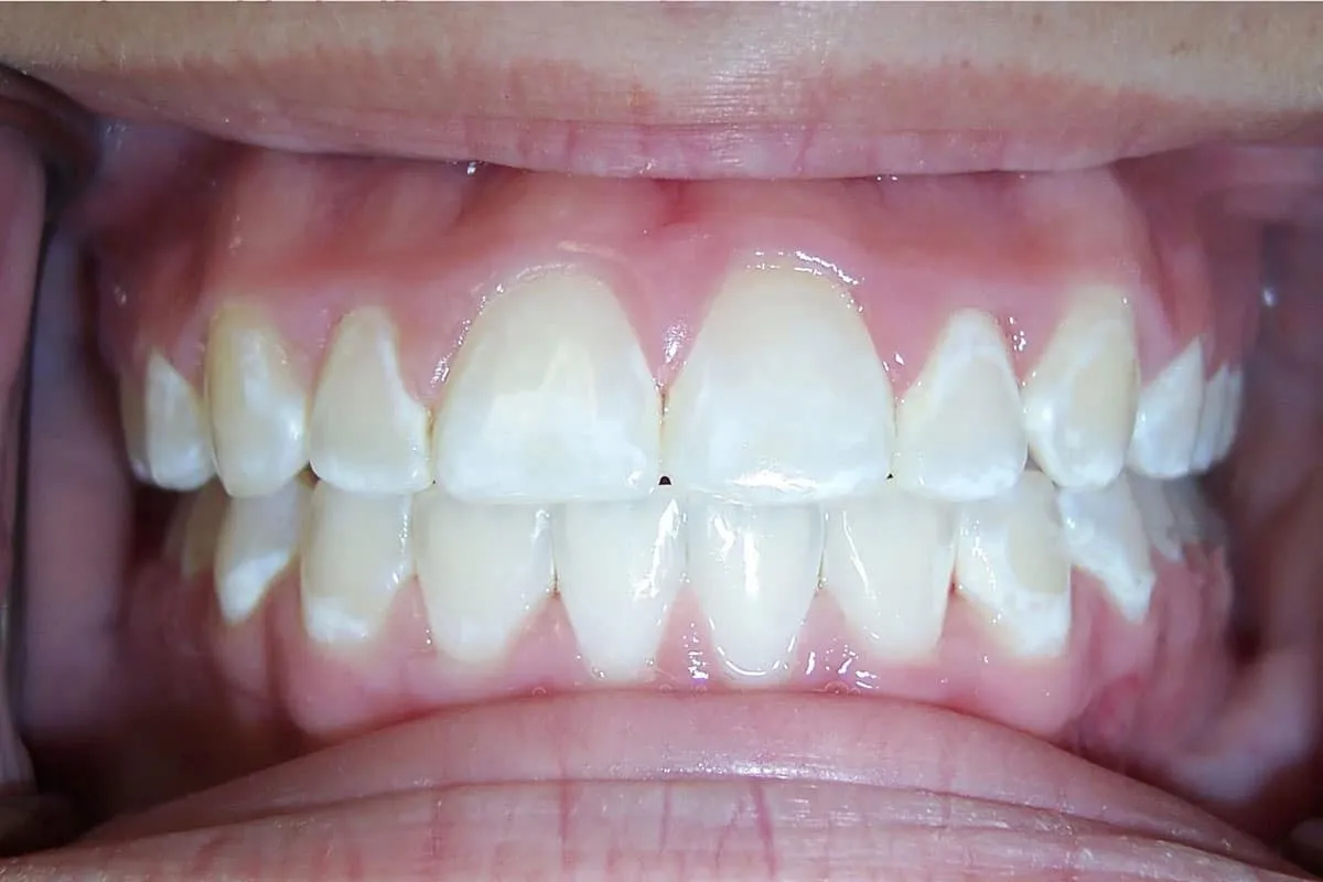
Uneven Whitening Product Application
One of the most frequent culprits behind spotty teeth after whitening is uneven product application. This can occur whether you’re using at-home whitening kits or undergoing professional treatments. Ensuring the whitening agent is applied uniformly across all tooth surfaces is crucial for consistent results. When the product isn’t applied evenly, some areas of the teeth will whiten more than others, leading to a spotty appearance. Several factors can contribute to this, making it essential to pay close attention to your application technique.
Improper Application Techniques

Incorrect application methods are a significant contributor to uneven whitening. For instance, if you are using whitening strips, improper placement can result in inconsistent coverage. The strips might not fully adhere to certain areas of your teeth, leaving them untreated. Similarly, with trays or brush-on products, failing to cover every surface of the teeth thoroughly can cause spots. It’s important to follow the manufacturer’s instructions meticulously to ensure proper application. This includes making sure the product reaches all visible tooth surfaces and avoiding excess product that could lead to uneven distribution.
Over-Application of Whitening Agents
Applying too much whitening product can also contribute to spotty results. While it may seem counterintuitive, excessive use doesn’t necessarily lead to better whitening; instead, it can cause uneven distribution. Too much product can pool in certain areas, leading to over-whitening in those spots, while other areas might remain untouched. Always adhere to the recommended dosage and frequency outlined in the product instructions. Overuse can also increase the risk of tooth sensitivity, a common side effect of whitening treatments. Proper application is key to achieving the best results without causing unevenness or other complications.
Pre-Existing Dental Conditions
Pre-existing dental conditions can significantly impact the outcome of teeth whitening. Certain conditions make teeth more prone to uneven whitening or may cause the treatment to be ineffective in specific areas. If your teeth have underlying problems, the whitening treatment might not work as expected. Understanding these conditions and their impact on whitening is crucial to setting realistic expectations and planning the right approach to achieve the desired results.
Enamel Demineralization

Enamel demineralization is the loss of minerals from the tooth enamel. This can create porous areas on the tooth surface, which might absorb the whitening agents differently, leading to spotty results. Demineralization often results from acidic foods, poor oral hygiene, or conditions like acid reflux. These weakened areas of enamel can react unpredictably to whitening treatments, causing some spots to appear lighter or darker than the surrounding areas. Addressing demineralization before whitening, through remineralization treatments, can help ensure a more even result and protect your teeth.
Fluorosis
Fluorosis is a condition caused by excessive fluoride exposure during tooth development, often characterized by white or brown spots on the enamel. Teeth with fluorosis may not whiten uniformly because the affected areas have altered enamel composition. Whitening treatments can sometimes accentuate these spots, making them more noticeable rather than blending them. In such cases, other cosmetic dental procedures, like veneers or bonding, might be more appropriate for achieving a consistent and aesthetically pleasing appearance.
Intrinsic Stains
Intrinsic stains are those that originate from within the tooth structure. Unlike extrinsic stains, which affect the tooth surface, intrinsic stains are located deeper within the enamel or dentin. These stains can be caused by medications (like tetracycline), trauma, or genetic factors. Whitening treatments may not always effectively address these types of stains, and the results can be uneven. In some cases, intrinsic stains might require more aggressive whitening methods or alternative cosmetic procedures to achieve the desired outcome. Consulting a dentist to determine the nature of your stains is crucial for choosing the right treatment plan.
Dietary Habits and Lifestyle

Your diet and lifestyle choices can also contribute to spotty teeth after whitening. Certain habits and the foods and drinks you consume can affect the outcome of your whitening treatment. These factors can either stain the teeth unevenly or interfere with the whitening process. Being mindful of these elements and making appropriate adjustments can help you achieve and maintain a brighter, more even smile.
Consuming Staining Foods and Drinks
Certain foods and beverages are notorious for staining teeth. These include coffee, tea, red wine, dark berries, and soy sauce. Consuming these items after whitening can lead to uneven staining, especially if the enamel is more porous temporarily after the treatment. The pigments from these foods and drinks can seep into the enamel, causing discoloration. Minimizing your intake of these staining agents or rinsing your mouth with water after consumption can help reduce the risk of spotty results. Maintaining good oral hygiene is also critical to prevent stains from setting in.
Smoking and Tobacco Use
Smoking and using tobacco products are significant contributors to tooth discoloration and can result in spotty teeth after whitening. The nicotine and tar in tobacco products stain the teeth, creating a yellow or brown appearance. These stains can be difficult to remove, and whitening treatments may not always provide uniform results. Smokers might find that certain areas of their teeth stain more readily than others, leading to an uneven look. Quitting smoking or avoiding tobacco use is essential to achieving and maintaining a brighter smile. Regular dental check-ups and professional cleanings can also help manage tobacco-related stains.
Sensitivity and Reaction to Whitening Agents

Teeth sensitivity and reactions to whitening agents are common side effects. Some individuals experience increased sensitivity during or after the treatment. In some cases, this sensitivity can cause the whitening agents to be less effective in certain areas, leading to an uneven outcome. Furthermore, the whitening process itself can sometimes irritate the gums, which can cause the teeth to appear spotty. Adjusting the whitening method, such as using lower concentrations of the bleaching agent or shortening the treatment duration, can help alleviate sensitivity and improve the results.
Understanding the causes of spotty teeth after whitening is the first step toward achieving a beautiful, even smile. From uneven application and pre-existing conditions to dietary habits and sensitivity, several factors can influence the final result. If you experience spotty teeth after whitening, consult your dentist to identify the specific causes and discuss appropriate solutions. Your dentist can provide personalized guidance and recommend treatments to help you achieve the bright, uniform smile you desire.
