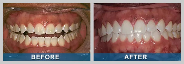
Understanding Teeth Whitening in Reno NV
Teeth whitening is a popular cosmetic dental procedure designed to brighten your smile and enhance your overall appearance. In Reno, Nevada, the demand for teeth whitening services is high, with many residents seeking professional treatments to achieve a dazzling white smile. This guide provides an in-depth look at the various teeth whitening options available in Reno, including associated costs, and important factors to consider when choosing a treatment. The goal is to empower you with the information needed to make informed decisions about your teeth whitening journey, ensuring you achieve the best possible results while staying within your budget. From in-office procedures to take-home kits, understanding the landscape of teeth whitening in Reno is the first step toward a brighter, more confident you.
Types of Teeth Whitening Treatments Available
There are several teeth whitening treatments available in Reno, each with its own benefits and drawbacks. The two main categories are in-office and take-home treatments. In-office whitening, performed by a dental professional, typically involves a higher concentration of bleaching agents and can deliver faster results, often whitening teeth several shades in a single session. Take-home whitening kits, on the other hand, offer a more gradual approach. These kits usually include custom-fitted trays and a lower concentration of whitening gel, which you apply at home over a period of time. The choice between these options depends on your individual needs, budget, and desired results. Additionally, over-the-counter whitening products, such as strips and toothpastes, are available, but they often provide less dramatic results compared to professional treatments.
In-Office Teeth Whitening Options in Reno

In-office teeth whitening is a convenient and efficient way to achieve a brighter smile quickly. In Reno, many dental practices offer this service, utilizing professional-grade whitening agents and techniques. The process usually involves applying a high-concentration bleaching gel to the teeth, followed by the use of a special light or laser to accelerate the whitening process. The entire procedure typically takes about an hour to an hour and a half, and the results can be significant, often lightening teeth by several shades. The benefits include immediate results, professional supervision, and the assurance of a safe and effective treatment. However, it’s important to note that the cost of in-office whitening is generally higher than take-home alternatives.
How Much Does In-Office Teeth Whitening Cost
The cost of in-office teeth whitening in Reno can vary depending on several factors, including the specific dental practice, the type of whitening system used, and the extent of the treatment. On average, you can expect to pay between $400 and $1,000 for a single in-office whitening session. Some practices may offer packages or promotions, so it’s always a good idea to inquire about any discounts. It is important to consider the value of the treatment, considering the faster results and professional supervision that in-office whitening provides. Always request a detailed quote from the dental practice, including all associated costs, before committing to the procedure. This will help you understand the overall expense and avoid any surprises.
Take-Home Teeth Whitening Kits and Prices
Take-home teeth whitening kits offer a more flexible and cost-effective alternative to in-office treatments. In Reno, dentists often provide custom-fitted trays and professional-strength whitening gel for take-home use. The cost of these kits typically ranges from $200 to $500, making them a more budget-friendly option. You’ll wear the trays for a specified period each day or night, following your dentist’s instructions. The gradual process allows for controlled whitening, minimizing the risk of sensitivity. Over-the-counter whitening strips and toothpastes are also available, but they usually contain a lower concentration of bleaching agents and may not produce the same dramatic results. However, they are generally cheaper, costing from $20-$50.
Factors Affecting Teeth Whitening Costs

Several factors influence the cost of teeth whitening treatments in Reno. The type of whitening treatment (in-office vs. take-home) is a primary determinant. The experience level of the dentist and the specific brand of whitening product used can also affect the price. Additionally, the extent of the treatment, such as the number of teeth being whitened, will play a role in determining the final cost. It’s important to discuss these factors with your dentist to understand the price structure and ensure you’re getting the best value for your investment. Consider also the cost of potential pre-treatment procedures, such as a professional cleaning, which may be required before teeth whitening.
Experience Level of the Dentist
The dentist’s experience and expertise in teeth whitening can impact the cost of the procedure. Highly experienced dentists, known for their skill and precision, may charge more for their services. Their expertise can provide better results and reduce the risk of complications. Choosing a dentist with a strong reputation and positive patient reviews is always recommended, even if it means a slightly higher cost. Before committing to treatment, make sure to check dentist credentials and certifications.
The Type of Whitening Treatment
The specific type of whitening treatment significantly affects the cost. In-office whitening, with its use of professional-grade products and advanced techniques, generally costs more than take-home kits. Take-home kits, especially those provided by a dentist, offer a more cost-effective way to achieve a brighter smile. Over-the-counter options, such as whitening strips and toothpastes, are even cheaper, but they may not deliver the same level of results. Evaluate your budget and desired results to determine which type of treatment best suits your needs.
The Number of Teeth Whitened

The number of teeth you want to whiten also influences the cost. Many teeth whitening procedures are priced based on the number of teeth treated. If you only need to whiten your front teeth, the cost will likely be less than if you want to whiten your entire smile. Before starting the whitening procedure, discuss your expectations with your dentist. Make sure that the price covers the desired number of teeth to avoid unexpected costs.
Additional Costs
Besides the core whitening procedure, additional costs can arise. A pre-whitening cleaning to remove plaque and stains may be necessary, adding to the overall expense. Depending on the state of your teeth, you may need to address issues like cavities or gum disease before whitening. These treatments are typically not included in the standard whitening cost. Ask the dentist for a breakdown of all potential costs during the initial consultation. This helps avoid surprises and allows for a well-informed decision. Be sure to inquire about any follow-up appointments.
Finding Affordable Teeth Whitening in Reno
Finding affordable teeth whitening options in Reno involves careful research and comparison. Start by comparing prices from different dental practices, paying attention to the type of treatment offered and the associated costs. Look for dental practices that offer financing options or payment plans to make teeth whitening more accessible. Keep an eye out for promotional offers, discounts, or special deals that may be available. Additionally, consider take-home whitening kits, which are generally less expensive than in-office treatments. By exploring various options and being proactive in your search, you can find a teeth whitening solution that fits your budget.
Comparing Reno NV Teeth Whitening Prices

Comparing teeth whitening prices in Reno is essential to finding the best value. Call different dental practices and ask for detailed price quotes, including all associated fees. Inquire about the specific whitening treatments offered and the products used. Check online reviews and testimonials to assess the quality of service and the dentist’s reputation. Consider the long-term benefits and potential risks of each treatment option when comparing prices. Remember that the lowest price may not always be the best choice, as it is essential to prioritize the quality of care and the expertise of the dental professional. Comparing costs will provide the best opportunity to identify the most suitable option.
Benefits of Professional Teeth Whitening
Professional teeth whitening offers several benefits over at-home or over-the-counter alternatives. Professional treatments provide faster and more dramatic results. Dentists use higher-concentration whitening agents, often combined with special lights or lasers, to speed up the process. Professional supervision ensures the treatment is safe and effective. Dentists can assess your oral health and address any underlying issues before whitening. The dentist can also provide custom-fitted trays for take-home treatments, maximizing effectiveness and reducing sensitivity. Professional whitening enhances confidence and improves the overall appearance of your smile. Professional treatments are a great investment in your self-esteem.
Ensuring a Safe and Effective Teeth Whitening Experience
To ensure a safe and effective teeth whitening experience in Reno, choose a reputable dental practice with experienced professionals. Schedule a consultation to discuss your goals and evaluate your oral health. Follow the dentist’s instructions carefully, whether you are undergoing an in-office treatment or using a take-home kit. Be aware of potential side effects, such as temporary tooth sensitivity or gum irritation, and inform your dentist if you experience any discomfort. Maintain good oral hygiene practices, including regular brushing, flossing, and dental check-ups. Avoid foods and drinks that can stain your teeth, such as coffee, tea, and red wine, particularly during and immediately after the whitening treatment. By following these guidelines, you can achieve a brighter smile while safeguarding your oral health.
In conclusion, teeth whitening can significantly enhance your smile and boost your confidence. In Reno NV, various options are available, each with its own price range and set of considerations. By understanding the different treatment types, associated costs, and factors influencing prices, you can make informed decisions and find a teeth whitening solution that meets your needs. Remember to research, compare options, and prioritize your oral health. With the right approach, achieving a brighter, whiter smile in Reno is both possible and achievable. Always consult with a qualified dental professional to determine the best course of action and enjoy the benefits of a radiant smile.
