What are Oral-B Whitening Strips?
Oral-B whitening strips are a popular at-home teeth whitening product designed to lighten the shade of your teeth. They are thin, flexible strips coated with a whitening agent, typically hydrogen peroxide, that adheres directly to the teeth’s surface. The strips are designed to be easy to use and provide a convenient way to whiten teeth without professional dental treatments. These strips offer an accessible and often more affordable option compared to in-office procedures. They are widely available in drugstores, supermarkets, and online, making them easily accessible for consumers looking to enhance their smile. The convenience factor is a significant advantage, allowing users to incorporate teeth whitening into their daily routines without significant time commitments.
How Oral-B Strips Work for Whitening
Oral-B whitening strips work by utilizing a chemical process to break down stains and discoloration on the teeth’s enamel. The active ingredient, usually hydrogen peroxide, penetrates the enamel and oxidizes the stain molecules, effectively lightening them. The strips are designed to maintain close contact with the teeth, maximizing the whitening agent’s effectiveness. The peroxide molecules interact with the discolored molecules, causing them to break apart and become less visible. The duration of treatment and the concentration of the active ingredient are designed to balance effectiveness with safety, minimizing the risk of excessive sensitivity or damage to the teeth and gums. Consistent use, as directed by the product instructions, is key to achieving noticeable results and a brighter smile.
The Science Behind the Whitening Process

The effectiveness of Oral-B whitening strips stems from the science of oxidation. Hydrogen peroxide, the primary whitening agent, is a strong oxidizing agent. When it comes into contact with stained tooth enamel, it releases oxygen molecules. These oxygen molecules interact with the stain molecules, breaking the bonds that hold them together and effectively bleaching them. The process targets both intrinsic and extrinsic stains. Extrinsic stains are those on the surface of the teeth caused by foods, drinks, and smoking, while intrinsic stains are deeper within the enamel. The concentration of hydrogen peroxide and the duration of its contact with the teeth influence the degree of whitening achieved. Professional treatments use higher concentrations, while at-home products are formulated for safety and ease of use.
Ingredients and Their Role
The primary active ingredient in Oral-B whitening strips is hydrogen peroxide, which is responsible for the teeth-whitening effect. In addition to hydrogen peroxide, other ingredients play crucial roles in the strip’s formulation. Polyethylene and other polymers are used to create the thin, flexible strip that adheres to the teeth. These polymers provide a comfortable fit and ensure the whitening agent stays in contact with the teeth. Glycerin is a humectant that helps to retain moisture and prevent the strips from drying out. Other ingredients, such as sodium hydroxide, may be used to adjust the pH of the product. The overall formulation is designed to optimize the effectiveness of the hydrogen peroxide while minimizing potential side effects, ensuring both safety and efficacy. Each component contributes to the product’s performance and the user’s experience.
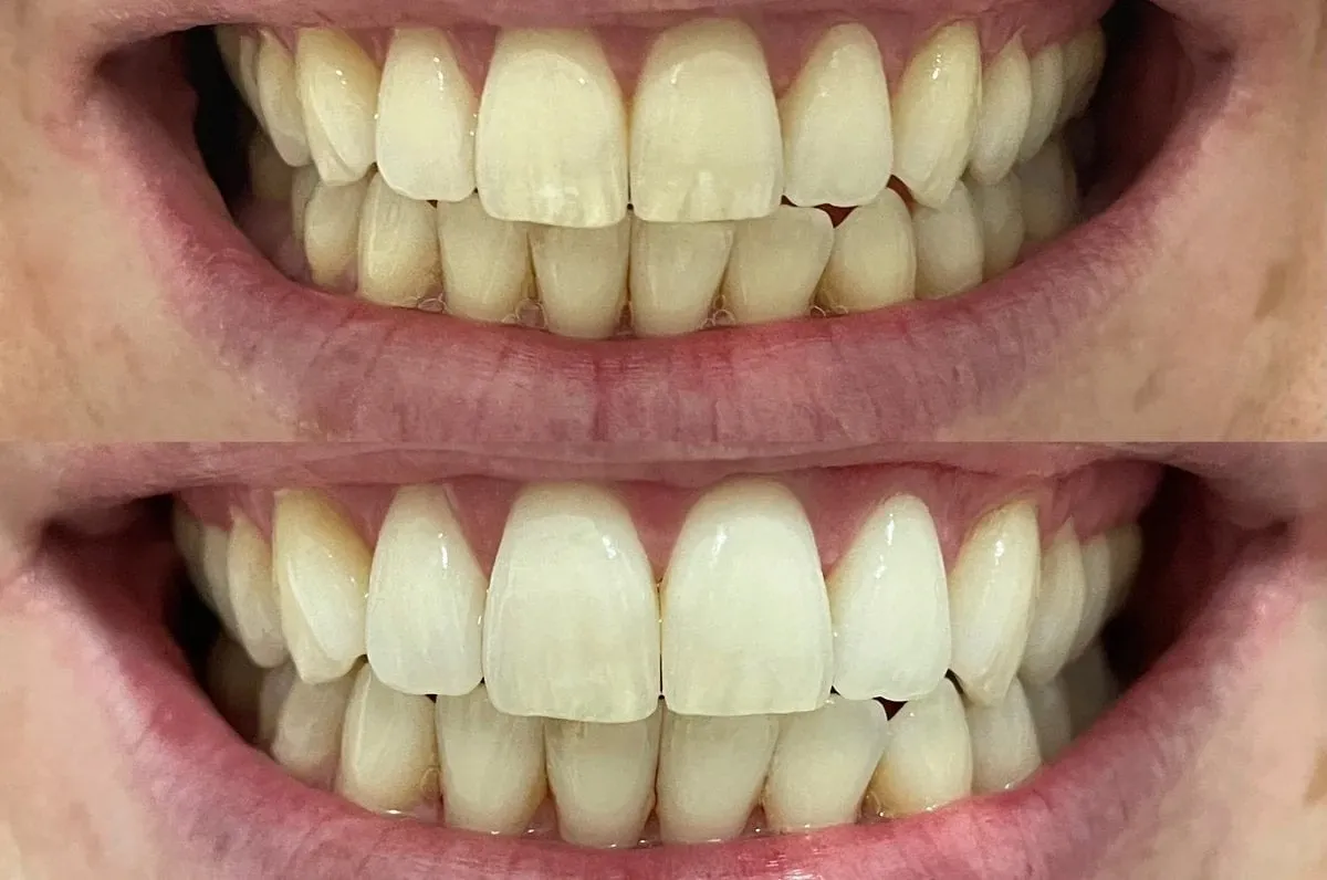
Before and After Results You Can Expect
The ‘before and after’ results from using Oral-B whitening strips can vary depending on individual factors such as the initial shade of your teeth, the type and severity of staining, and consistency of use. Users typically notice a visible improvement within a few days to a week of starting treatment. The degree of whitening can range from a few shades lighter to more dramatic transformations. It is essential to have realistic expectations, as results are not always the same as professional treatments. Results can be best visualized through comparisons, such as before-and-after photos. Consistency is key to achieving optimal results. Adhering to the product instructions and completing the recommended treatment course is vital for maximizing the whitening potential and maintaining the desired results. The level of improvement also depends on the user’s adherence to the product’s guidelines.
Factors Influencing Results

Several factors can influence the effectiveness of Oral-B whitening strips. The initial shade of your teeth is a critical factor. People with naturally whiter teeth may experience less noticeable changes than those with more stained teeth. The type and severity of stains also play a role. Stains from coffee, tea, and tobacco tend to respond well, while some intrinsic stains, such as those caused by certain medications, may be more resistant. Consistency in application is key. Skipping applications or not following the recommended treatment duration can limit the results. Oral hygiene habits also contribute. Brushing and flossing regularly help remove surface stains, enhancing the whitening process. Age and genetics can also play a role in determining the potential for teeth whitening. Certain oral health conditions can influence the effectiveness of the strips.
Proper Application Technique
The correct application of Oral-B whitening strips is crucial for achieving optimal results. Start by brushing your teeth gently to remove any surface debris, but avoid brushing immediately before applying the strips. Carefully peel the strips from the backing and apply the gel side to the front of your upper and lower teeth. Align the strips with your gumline, pressing gently to ensure full contact with the teeth’s surface. Fold any excess strip material behind the teeth to keep them in place. Once the strips are correctly positioned, refrain from eating, drinking, or talking excessively. Follow the recommended wear time specified in the product instructions, usually around 30 minutes. After the time is up, remove the strips and discard them. Rinse your mouth and avoid swallowing any remaining gel. Consistent application, as per the product’s instructions, is key to maximizing the whitening effects.
Step-by-Step Application Guide
Here’s a step-by-step guide to applying Oral-B whitening strips for the best results. First, brush your teeth gently but avoid brushing immediately before applying the strips. Open the pouch and peel the strips from the plastic backing. Apply the longer strip to your upper teeth and the shorter strip to your lower teeth, gel side against the teeth. Align the strips with your gumline, pressing gently to make full contact. Fold the excess strip material behind your teeth. Leave the strips on for the recommended time, usually 30 minutes. Avoid eating, drinking, or talking excessively during this time. After the time is up, remove the strips and discard them. Rinse your mouth with water to remove any remaining gel. Brush your teeth again, but wait at least 30 minutes after removing the strips before brushing. Repeat the process daily, or as directed by the product instructions, for the duration of the treatment.
Potential Side Effects and Solutions

While Oral-B whitening strips are generally safe, some users may experience side effects. The most common side effects include tooth sensitivity and gum irritation. Tooth sensitivity can manifest as temporary discomfort when consuming hot or cold foods or drinks. Gum irritation may appear as redness or tenderness along the gumline. These side effects are usually mild and temporary, resolving shortly after treatment is stopped or reduced. To minimize sensitivity, consider using a toothpaste designed for sensitive teeth before, during, and after treatment. Avoiding overuse or exceeding the recommended wear time is also important. In cases of severe or persistent side effects, consult your dentist immediately. Most side effects can be mitigated by following the product instructions carefully and monitoring your teeth’s response to the treatment.
Sensitivity and Irritation
Tooth sensitivity and gum irritation are common side effects associated with Oral-B whitening strips. Sensitivity occurs because the hydrogen peroxide can penetrate the enamel and temporarily irritate the nerve endings within the teeth. This sensitivity is usually temporary, often resolving within a few days after treatment. Gum irritation can result from the whitening agent’s contact with the gum tissue. It may manifest as redness, tenderness, or mild swelling along the gumline. Both sensitivity and irritation are typically mild and self-limiting, but it is crucial to manage them appropriately. If you experience severe or prolonged side effects, it is best to consult your dentist. Careful adherence to the product instructions, including the recommended wear time and frequency, is essential for minimizing these adverse effects.
Managing and Preventing Side Effects
To manage and prevent side effects from Oral-B whitening strips, several strategies can be employed. Using a toothpaste specifically designed for sensitive teeth before, during, and after the whitening treatment can help reduce sensitivity. Apply a small amount of the toothpaste to the affected areas before applying the strips. Avoid overusing the strips or exceeding the recommended treatment duration. Always follow the product’s instructions. Ensure the strips are correctly applied, avoiding contact with the gums as much as possible. If gum irritation occurs, rinse your mouth thoroughly with water. Consider taking breaks between treatments, allowing your teeth and gums to recover. If side effects persist, consult your dentist. Proper oral hygiene, including brushing and flossing, also contributes to maintaining healthy teeth and gums during the whitening process.
Real User Experiences and Reviews

Real user experiences with Oral-B whitening strips vary, but many users report positive results, especially concerning improved teeth whiteness. Many users are satisfied with the convenience and ease of use, appreciating the ability to whiten their teeth at home. Some users report noticeable whitening within a week of consistent use, while others note significant improvements after completing the full treatment course. Several user reviews emphasize the importance of adhering to the product instructions. Positive reviews often highlight improved confidence and a brighter smile. Users generally recommend following the instructions carefully to minimize potential side effects. It is essential to consider that individual results may vary. Some users also find the strips to be cost-effective compared to professional dental treatments. The overall sentiment is favorable, with users frequently recommending the product to others looking for an affordable and convenient teeth whitening solution.
Positive Testimonials
Many users have shared positive testimonials about their experiences with Oral-B whitening strips. Common themes include increased confidence and satisfaction with the results. Users often highlight the convenience and ease of integrating the strips into their daily routines. Some testimonials emphasize the noticeable whitening effect, with users reporting a brighter smile within a week of use. Many users report a significant improvement in the shade of their teeth, often several shades lighter than before. Testimonials frequently mention the cost-effectiveness of the strips compared to professional whitening treatments. Several users also appreciate that the strips are readily available and easy to purchase. Many individuals are happy with the lack of sensitivity. These testimonials provide valuable insights into the real-world effectiveness and the positive impact Oral-B whitening strips have on users’ smiles and self-esteem.
Negative Reviews and Concerns
While Oral-B whitening strips are generally well-received, some users have expressed concerns and negative experiences. Tooth sensitivity is a common complaint, with some users finding the discomfort too severe to continue using the strips. Gum irritation is another reported issue, with some users experiencing redness, swelling, or tenderness along the gumline. Some users are disappointed with the results. They may feel that the whitening effect is minimal or does not meet their expectations. In some instances, the strips can be difficult to apply, or they may not adhere well to the teeth, leading to uneven whitening. There are also concerns about the taste or the chemical smell. Some users report the strips are expensive when considering the lack of results. It’s essential to consider these issues and individual experiences to have realistic expectations.
Oral-B Whitening Strips vs. Alternatives

Comparing Oral-B whitening strips with alternative teeth whitening methods helps to understand their pros and cons. Other options include professional teeth whitening treatments. Professional treatments performed by a dentist often yield more dramatic and immediate results. These treatments typically involve a higher concentration of peroxide. However, professional treatments are often more expensive. Other at-home options include whitening toothpastes, which are designed to remove surface stains and may provide some brightening effect, but are generally less effective than strips. Whitening pens are another option, offering a more targeted application. These pens are convenient, but their effectiveness can vary. Custom-fitted whitening trays, provided by a dentist, can offer a balance of effectiveness and convenience, though they are often more expensive than strips. Considering the price, effectiveness, and ease of use is essential for making an informed choice.
Other Whitening Methods
Besides Oral-B whitening strips, several other methods can be used to whiten teeth. Professional teeth whitening, performed by a dentist, is often the most effective. These treatments typically use higher concentrations of peroxide and can produce dramatic results in a single session. Whitening toothpastes, which contain mild abrasives and chemicals, can help remove surface stains. However, they are less effective than strips or professional treatments. Over-the-counter whitening gels, applied with custom trays, provide a more effective whitening solution. These trays allow for a more even application and better contact with the teeth. Whitening pens offer a convenient, portable option for spot treatments, although their effectiveness may vary. Home remedies, such as baking soda or activated charcoal, are also used, but their effectiveness is limited and may pose some risks. Choosing the right method depends on individual needs, preferences, and the desired level of whitening.
Cost-Effectiveness Analysis
When evaluating the cost-effectiveness of Oral-B whitening strips, compare them to other teeth whitening options. Generally, Oral-B whitening strips are a cost-effective choice compared to professional dental treatments, which can cost hundreds of dollars per session. Strips are available at a significantly lower price point, making them accessible to a broader range of consumers. Compared to whitening toothpastes, which are even less expensive, strips tend to offer more noticeable whitening effects, but the results often come with a slightly higher price tag. The cost-effectiveness also depends on individual needs and expectations. If you have significant discoloration or desire more dramatic results, professional treatments may be a better investment, despite the higher cost. Regular use and consistent application of the strips are essential for achieving the best value and whitening potential.
Maintaining Your White Smile

Maintaining a white smile requires consistent care and attention. Regular oral hygiene habits are critical, including brushing your teeth twice a day and flossing once daily. Brushing removes surface stains. Flossing removes plaque and debris. Using a whitening toothpaste can help maintain the brightness of your teeth between treatments. Avoiding foods and drinks that can stain your teeth, such as coffee, tea, red wine, and berries, will help prevent discoloration. If you consume staining foods, brush your teeth soon after. Regular dental check-ups and cleanings are also essential for maintaining a healthy and bright smile. Your dentist can remove any stubborn stains and address any underlying issues. Consider touch-up treatments with whitening strips as needed. Avoiding tobacco products is also essential, as smoking and chewing tobacco can severely stain your teeth.
Post-Treatment Care Tips
Following proper post-treatment care after using Oral-B whitening strips helps maintain and extend the results. Avoid consuming highly pigmented foods and drinks for at least a few days after treatment, as your teeth are more susceptible to staining. Minimize your intake of coffee, tea, red wine, and berries during this period. Brush your teeth gently with a soft-bristled toothbrush, and consider using a toothpaste designed for sensitive teeth to minimize any potential discomfort. Avoid smoking and tobacco products, as they can quickly stain your teeth and reverse the whitening effects. Consider using a fluoride mouthwash to strengthen your enamel. Schedule regular dental check-ups and cleanings to maintain optimal oral health and address any potential issues. If sensitivity occurs, using a toothpaste designed for sensitive teeth can help alleviate discomfort. Following these post-treatment care tips helps to maximize the longevity of your newly whitened smile.
Long-Term Oral Health Considerations
When considering long-term oral health while using Oral-B whitening strips, several factors are essential. Always use the strips as directed. Excessive use can lead to tooth sensitivity. Monitor your teeth for any signs of irritation. Regular dental check-ups are crucial, as your dentist can assess the overall health of your teeth and gums. They can also identify and address any issues related to the whitening treatment. Maintain good oral hygiene practices, including brushing twice a day and flossing. Brushing will remove any surface stains. If you experience sensitivity or discomfort, consult your dentist. They may recommend a toothpaste for sensitive teeth or adjust your whitening routine. Be mindful of your diet. Limit your intake of staining foods and drinks. Avoiding tobacco products is also important. By following these guidelines, you can maintain a healthy and bright smile while minimizing the risk of long-term oral health problems.
