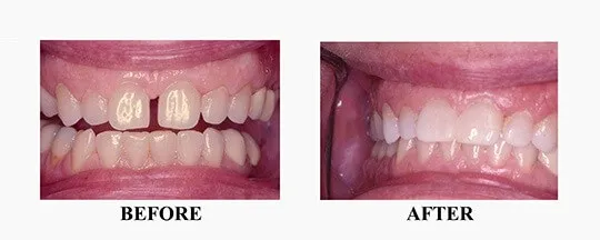
What is Teeth Whitening?
Teeth whitening is a cosmetic dental procedure designed to brighten the color of your teeth. It involves removing stains and discoloration that can accumulate over time due to various factors. These factors include the foods and drinks we consume, our oral hygiene habits, and even natural aging. Teeth whitening treatments utilize bleaching agents to penetrate the enamel and dentin layers of your teeth, breaking down the stain molecules and restoring a brighter, more youthful appearance to your smile. Whether you’re looking for a quick fix for a special occasion or a long-term solution to boost your confidence, teeth whitening in Norwood offers a range of options tailored to meet your needs and preferences.
The Science Behind Teeth Whitening
The process of teeth whitening is rooted in the science of chemical reactions. The active ingredients in whitening agents, most commonly hydrogen peroxide or carbamide peroxide, are oxidizing agents. When applied to the teeth, these agents break down into smaller molecules that penetrate the porous enamel surface. These molecules then interact with the stain compounds that have accumulated within the enamel and dentin. The oxidation process effectively breaks the bonds of these stain molecules, causing them to become less visible and thereby brightening the overall appearance of the teeth. The concentration of the whitening agent and the duration of its application influence the extent of the whitening effect, with professional treatments often yielding more dramatic results than over-the-counter products.
Top 5 Benefits of Teeth Whitening in Norwood

Teeth whitening in Norwood offers a multitude of advantages that extend beyond just aesthetics. Investing in this cosmetic procedure can significantly improve your overall well-being, encompassing both your physical health and your mental state. It’s a popular choice for those looking to enhance their smiles and boost their self-esteem. Let’s explore the top five benefits you can experience with teeth whitening.
Boost Confidence
One of the most immediate and impactful benefits of teeth whitening is a significant boost in confidence. A bright, white smile is often associated with youthfulness, health, and attractiveness, and it can greatly enhance your self-image. Feeling self-conscious about the color of your teeth can lead to reduced smiling, covering your mouth, or avoiding social interactions. Teeth whitening can eliminate these concerns, allowing you to smile freely and confidently in any setting. This newfound confidence can positively influence your personal and professional life, making you feel more comfortable and self-assured in all your interactions. A brighter smile can make you feel more approachable and increase your overall sense of well-being.
Improve Oral Health
While primarily a cosmetic procedure, teeth whitening can also indirectly contribute to improved oral health. The process often motivates individuals to take better care of their teeth and gums. Seeing the positive results of whitening encourages people to adopt better oral hygiene habits, such as more diligent brushing and flossing, and regular dental checkups. Furthermore, professional teeth whitening treatments often include a thorough dental cleaning, which can help remove plaque and tartar buildup that can lead to cavities and gum disease. Maintaining a bright smile requires ongoing care, and the commitment to whitening can foster a proactive approach to oral hygiene, ultimately leading to a healthier mouth overall. Good oral health is essential not only for a beautiful smile but also for overall well-being.
Enhance Appearance

The most obvious benefit of teeth whitening is the enhancement of your overall appearance. A brighter smile can make you look younger, healthier, and more vibrant. Discolored teeth can make you appear older and can detract from your facial features. Teeth whitening can reverse these effects, giving you a more youthful and attractive appearance. This improved aesthetic can have a ripple effect, boosting your self-esteem and positively influencing how others perceive you. A beautiful smile is a powerful asset, and teeth whitening is a simple yet effective way to achieve it. This can be especially beneficial for those who are conscious about their appearance and want to make a positive first impression.
Special Events
Teeth whitening is an excellent option for preparing for special events, such as weddings, graduations, job interviews, or milestone birthdays. A bright, white smile can help you look and feel your best during these important occasions. It enhances your photos and makes you more confident when interacting with others. Professional teeth whitening treatments can be timed to provide optimal results before an event, ensuring you have a stunning smile for those memorable moments. If you have an event coming up, consider teeth whitening as part of your preparation to ensure you feel confident and ready to shine. This is a quick and effective way to boost your appearance before any special occasion.
Maintain Results
While the initial investment in teeth whitening provides immediate results, the benefits extend far beyond the treatment itself. Teeth whitening, especially when performed by a dental professional in Norwood, often comes with advice on how to maintain the brightened shade of your teeth. This includes guidance on oral hygiene practices, dietary recommendations, and the use of touch-up treatments. By following these guidelines, you can enjoy the long-term benefits of your whitening procedure, keeping your smile radiant for years to come. This proactive approach ensures that your investment pays off in terms of sustained confidence and a consistently attractive smile. The dentist can also provide custom-fitted trays for at-home maintenance.
Types of Teeth Whitening in Norwood

There are several methods available for teeth whitening in Norwood, each with its own set of advantages and considerations. The choice of method depends on your individual needs, preferences, and budget. Understanding the options available helps you make an informed decision and achieve the desired results. The following outlines the most common types of teeth whitening treatments available.
Professional Whitening Treatments
Professional teeth whitening treatments are administered by a dentist in Norwood and offer the most effective and controlled whitening experience. These treatments use high-concentration bleaching agents that are more powerful than those available over-the-counter. This results in faster and more dramatic whitening. There are two main types of professional whitening treatments In-office whitening and take-home whitening kits. These treatments are tailored to the individual’s needs, ensuring optimal results while minimizing potential risks. Regular dental checkups are also a part of the professional service, providing the best overall oral care.
In-Office Whitening
In-office teeth whitening, also known as chair-side bleaching, is performed in a dentist’s office in Norwood. The dentist applies a strong whitening gel to your teeth and uses a special light or laser to activate it. This process is usually completed in one or two sessions, each lasting about an hour. In-office treatments provide immediate and noticeable results. They are ideal for individuals seeking rapid and significant teeth whitening before a special event or who want the convenience of having the procedure done quickly and efficiently. Your dentist will monitor the process to ensure your comfort and safety, making this one of the safest options.
Take-Home Whitening Kits

Take-home whitening kits involve custom-fitted trays and whitening gel provided by your dentist in Norwood. The dentist creates these trays by taking impressions of your teeth, ensuring a perfect fit. You apply the whitening gel to the trays and wear them for a specified amount of time each day, usually for a few hours or overnight, according to the dentist’s instructions. This method allows you to whiten your teeth at your convenience in the comfort of your home. The results are gradual but can be significant over a few weeks. This option offers a balance of effectiveness and affordability, making it a popular choice for many individuals. The dentist will also provide guidance on how to use the kit for best results.
Over-the-Counter Whitening Products
Over-the-counter (OTC) teeth whitening products are readily available at pharmacies and supermarkets. These products are generally less expensive than professional treatments but also less potent. They include whitening toothpastes, strips, and gels. While they may provide some improvement, the results are typically less dramatic and may take longer to achieve. They are a good option for those seeking mild whitening or for maintaining the results of professional treatments. The effectiveness of OTC products varies, so it’s important to choose reputable brands and follow the instructions carefully. Consulting with a dentist in Norwood can also provide guidance on which OTC products are best suited for your needs and oral health.
Whitening Toothpastes and Strips
Whitening toothpastes contain mild abrasives and chemicals to remove surface stains from your teeth. They can help brighten your teeth slightly over time, but they are not as effective as professional whitening treatments. Whitening strips are thin, flexible strips coated with a whitening gel that you apply directly to your teeth. They are easy to use and provide noticeable results within a few weeks. However, they may not whiten teeth as evenly as professional treatments. Both toothpastes and strips are convenient and affordable options for maintaining a bright smile or for those with mild discoloration. It’s crucial to follow the product instructions to avoid any potential side effects or damage to your teeth.
Choosing the Right Whitening Option

Selecting the right teeth whitening option in Norwood depends on several factors, including your goals, the severity of your tooth discoloration, your budget, and your time constraints. It’s essential to consult with your dentist to determine the best approach for your specific needs. They can assess the condition of your teeth and gums, discuss your expectations, and recommend the most appropriate treatment. Making an informed decision ensures that you achieve the desired results safely and effectively.
Factors to Consider
Several factors should be considered when choosing a teeth whitening option in Norwood. The extent and type of staining play a significant role; for example, intrinsic stains (those within the tooth structure) may require more intensive treatments than extrinsic stains (those on the surface). Your sensitivity to the whitening agents and the overall health of your teeth and gums are also important. Another factor is your budget, as professional treatments are generally more expensive than over-the-counter options. Finally, consider the time commitment involved and how quickly you want to see results. A conversation with your dentist will help you weigh these factors and make an informed decision.
Cost
The cost of teeth whitening varies depending on the method chosen. Over-the-counter products are the most affordable, ranging from a few dollars to a few hundred. Professional whitening treatments are more expensive, with in-office whitening typically costing more than take-home kits. However, the cost reflects the effectiveness of the treatment, the expertise of the dental professionals, and the long-term benefits. It is essential to consider the value offered by each option, including the safety, the results achieved, and the duration of the effects. When evaluating the cost, factor in the peace of mind knowing your treatment is being overseen by a dental professional in Norwood.
Sensitivity

Tooth sensitivity is a common side effect of teeth whitening, and the level of sensitivity varies depending on the treatment used. Professional whitening treatments may cause more sensitivity due to the higher concentrations of bleaching agents used. Over-the-counter products can also cause sensitivity, though to a lesser degree. Your dentist in Norwood can provide guidance on managing and minimizing sensitivity, such as using desensitizing toothpaste before and during treatment. They can also suggest specific strategies to reduce any discomfort. It is important to discuss any concerns about sensitivity with your dentist before starting any teeth whitening procedure.
Maintenance and Aftercare
Proper maintenance and aftercare are crucial for maintaining a bright and beautiful smile after teeth whitening in Norwood. By following some simple guidelines, you can extend the longevity of your results and enjoy a consistently dazzling smile. These steps involve avoiding certain foods and drinks, practicing good oral hygiene, and attending regular dental checkups.
Tips for Maintaining a Bright Smile
To maintain a bright smile after teeth whitening, it is important to follow a few key tips. Regular brushing and flossing help remove surface stains and prevent new ones from forming. The dentist can recommend specific toothpaste to maintain and preserve your whitening results. Using a straw when drinking staining beverages, such as coffee, tea, and red wine, can also reduce the contact with your teeth. Considering touch-up treatments as recommended by your dentist can also keep your smile looking its best. Making these habits part of your daily routine will maximize the results of your teeth whitening procedure and keep your smile radiant for years to come.
Avoid Staining Foods and Drinks

Certain foods and drinks can stain your teeth and diminish the effects of teeth whitening. To maintain a bright smile, it’s important to limit or avoid these items. Coffee, tea, red wine, and dark sodas are notorious for staining teeth. Foods like berries, soy sauce, and curries can also contribute to discoloration. If you consume these items, rinse your mouth with water afterward or brush your teeth to minimize staining. Being mindful of what you eat and drink will help to preserve the results of your teeth whitening treatment and keep your smile looking its best. Consider alternatives, such as clear soda or herbal teas, if you want to minimize the risk of staining.
Practice Good Oral Hygiene
Maintaining excellent oral hygiene is essential for preserving your bright smile after teeth whitening. Brush your teeth at least twice a day with a fluoride toothpaste, and floss daily to remove plaque and food particles. Rinsing with an antiseptic mouthwash can also help to prevent staining. Regular dental checkups and cleanings in Norwood are crucial for removing any surface stains and maintaining optimal oral health. A dentist can also provide you with professional advice on how to best care for your teeth and gums, ensuring that your smile remains bright and healthy for a long time. A commitment to a good oral hygiene routine is a fundamental aspect of teeth whitening aftercare.
Regular Dental Checkups
Regular dental checkups and cleanings are a vital part of maintaining a bright smile after teeth whitening. During these visits, your dentist in Norwood can assess the overall health of your teeth and gums and provide a professional cleaning to remove any surface stains or plaque buildup. They can also monitor the effectiveness of your whitening treatment and recommend any necessary touch-up procedures. Regular checkups allow your dentist to identify and address any potential issues early, ensuring your teeth remain healthy and your smile remains vibrant. Following your dentist’s recommendations regarding checkup frequency and professional cleanings is an excellent way to protect your investment in teeth whitening and enjoy a beautiful smile for years to come. Consistent dental care, combined with good oral hygiene habits, forms the foundation for long-term oral health and a dazzling smile.
