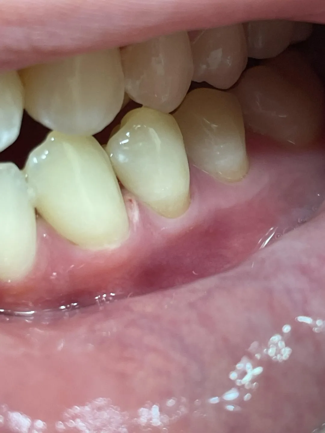
Understanding Irritated Gums After Teeth Whitening
Teeth whitening is a popular cosmetic procedure, but it can sometimes lead to side effects like irritated gums. This irritation, often characterized by redness, swelling, and tenderness, can make the experience uncomfortable. It’s essential to understand the causes of this irritation to take appropriate steps to alleviate and prevent it. Knowing the reasons behind irritated gums is the first step in ensuring a comfortable and effective whitening experience, allowing you to achieve a brighter smile without unnecessary discomfort.
Causes of Irritated Gums from Whitening
Chemical Irritation from Whitening Agents

The primary cause of gum irritation is often the whitening agents themselves, typically hydrogen peroxide or carbamide peroxide. These chemicals, designed to penetrate the tooth enamel and remove stains, can also irritate the soft tissues of the gums. High concentrations of these agents, used in professional treatments or certain over-the-counter products, can increase the risk of irritation. Exposure to these chemicals during the whitening process can lead to inflammation, resulting in the characteristic redness and swelling associated with irritated gums. Moreover, the prolonged contact of these agents with the gums can exacerbate the irritation, making it crucial to follow instructions and take precautions.
Sensitivity and Gum Irritation
Individuals with sensitive teeth and gums are particularly susceptible to irritation during teeth whitening. Those with pre-existing gum conditions, such as gingivitis or periodontitis, may experience heightened sensitivity and inflammation. The whitening agents can exacerbate these conditions, leading to increased discomfort and potentially delaying the whitening process. If you know that you have sensitive teeth or gums, it is important to speak with your dentist before starting any whitening treatment. Your dentist can assess your oral health and suggest customized approaches to minimize irritation, helping you to safely achieve your desired results. If the gums and teeth are already sensitive, the whitening procedure can further irritate them.
Incorrect Whitening Methods
Improper application of whitening products can significantly contribute to gum irritation. For instance, using too much whitening gel, placing it improperly, or leaving the product on for longer than recommended can all lead to increased exposure of the gums to the active agents. Over-the-counter whitening kits often come with trays that may not fit perfectly, allowing the gel to seep out and come into contact with the gums. Additionally, applying whitening strips incorrectly can cause the chemicals to touch the gum tissue directly. Following the manufacturer’s instructions precisely and consulting with a dentist about proper techniques can help you to avoid these common pitfalls and minimize the risk of irritation, allowing you to achieve a brighter smile safely.
Top 5 Tips for Soothing Irritated Gums

Tip 1 Use a Soft-Bristled Toothbrush
Switching to a soft-bristled toothbrush is one of the first steps in soothing irritated gums. The soft bristles are gentle on the sensitive gum tissues, preventing further irritation that can be caused by the abrasive action of hard or medium-bristled toothbrushes. Brushing too hard can also exacerbate inflammation and discomfort, so a soft touch is crucial. Using a soft toothbrush allows you to maintain good oral hygiene without aggravating the already sensitive gums, providing relief and aiding in the healing process. Replace your toothbrush every three months, or sooner if the bristles become frayed.
Tip 2 Rinse with Salt Water
Rinsing your mouth with a warm salt water solution is an effective home remedy for irritated gums. Salt has natural antiseptic and anti-inflammatory properties that can help reduce swelling and soothe irritated tissues. Prepare the solution by dissolving about half a teaspoon of salt in a cup of warm water. Rinse your mouth gently with this solution for about 30 seconds, several times a day. The warm water helps to improve circulation, promoting healing, while the salt works to fight off infection. This simple rinse can provide significant relief from discomfort and help your gums to heal faster.
Tip 3 Apply a Topical Analgesic

Topical analgesics, such as those containing benzocaine or lidocaine, can provide temporary relief from pain and discomfort. These over-the-counter gels or creams can be applied directly to the irritated gums to numb the area. Follow the product instructions carefully and avoid excessive use. These products are designed to offer short-term relief, allowing you to manage the pain while the gums heal. However, it is important to be aware that these analgesics do not address the underlying cause of the irritation, and are best used in conjunction with other soothing methods.
Tip 4 Avoid Whitening Treatments Temporarily
One of the most effective steps you can take is to temporarily avoid further whitening treatments. Continuing to expose your gums to whitening agents when they are already irritated can worsen the condition. Taking a break from whitening allows your gums to heal and reduces the risk of further inflammation. If you are using an at-home kit, discontinue use immediately and consult with your dentist. For professional treatments, discuss your concerns with your dentist. This pause will allow your gums to recover and may prevent the need for more intensive treatments later on.
Tip 5 Drink Plenty of Water
Staying hydrated is essential for overall health, and it plays a significant role in the healing process of irritated gums. Drinking plenty of water helps to keep your mouth moist, which can prevent further irritation. Water also helps to flush away bacteria and food particles that can contribute to inflammation. Moreover, drinking water stimulates saliva production, which helps to neutralize acids and protect the gums and teeth. Aim to drink eight glasses of water per day to ensure your mouth stays healthy and to support the healing of your gums. Avoiding sugary drinks that can worsen irritation is also important.
Preventing Irritation During Teeth Whitening

Consult a Dentist Before Whitening
Before starting any teeth whitening treatment, it’s important to consult with a dentist. A dental professional can assess your oral health and determine if you’re a suitable candidate for whitening. They can identify any pre-existing conditions, such as cavities or gum disease, that could complicate the process or increase the risk of irritation. Your dentist can also recommend the most appropriate whitening method for your specific needs and provide professional guidance on how to minimize potential side effects. This consultation ensures you approach the procedure safely and with realistic expectations, leading to a more positive experience.
Use High-Quality Whitening Products
When choosing whitening products, opt for those from reputable brands. High-quality products often undergo rigorous testing and adhere to safety standards, reducing the likelihood of gum irritation. Look for products that contain controlled concentrations of whitening agents, such as hydrogen peroxide or carbamide peroxide. Also, ensure that the product is designed for your specific needs. If you have sensitive teeth, consider using a product formulated for sensitive teeth, which often contains lower concentrations of the active ingredients. Always read reviews and consult with your dentist to choose the best products for you.
Follow Instructions Carefully

Adhering to the manufacturer’s instructions is critical for minimizing gum irritation. Incorrect application of whitening products is a common cause of side effects. Carefully follow the guidelines on the product label or those provided by your dentist, paying close attention to the duration of treatment, the amount of gel to use, and the proper placement of whitening trays or strips. Avoid using more product than recommended or leaving the product on for longer than advised, as this can increase the likelihood of irritation. If you are using a professional whitening system, your dentist will provide detailed instructions and ensure that the procedure is performed safely.
When to Seek Professional Help
If you experience persistent or severe gum irritation after teeth whitening, it’s important to seek professional help. While some mild irritation can be managed at home, significant swelling, pain, or bleeding may indicate a more serious issue. Your dentist can assess the extent of the damage, identify the underlying cause, and recommend appropriate treatment. They may suggest prescription-strength anti-inflammatory medications or other therapies to promote healing and alleviate discomfort. Do not hesitate to contact your dentist if your symptoms worsen or do not improve within a few days, as early intervention can prevent further complications and ensure the health of your gums.
