The Best Adelaide Teeth Whitening
Are you dreaming of a brighter, more confident smile? Adelaide teeth whitening can be the perfect solution to transform your pearly whites and boost your self-esteem. With a plethora of options available, from professional treatments to at-home kits, achieving a radiant smile is more accessible than ever. This guide unveils the top 7 secrets to successful teeth whitening in Adelaide, providing you with the knowledge and insights to make informed decisions and attain the dazzling smile you’ve always desired.
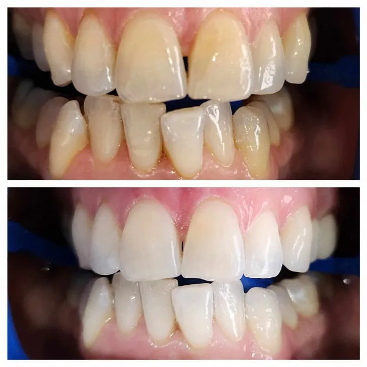
Understanding Teeth Whitening in Adelaide
Teeth whitening is a cosmetic dental procedure designed to lighten the shade of your teeth, removing stains and discoloration. This process can significantly enhance the aesthetic appeal of your smile. Teeth can become discolored due to various factors, including aging, genetics, dietary habits, and certain lifestyle choices. In Adelaide, you’ll find numerous dental practices and cosmetic clinics offering a range of teeth whitening solutions to suit different needs and budgets. It’s essential to understand the underlying causes of discoloration to choose the most effective treatment for your specific case. Consulting with a qualified dentist in Adelaide is crucial to determine the best course of action.
What Causes Tooth Discoloration

Tooth discoloration can stem from both extrinsic and intrinsic factors. Extrinsic stains appear on the surface of the enamel and are often caused by consuming staining foods and drinks, such as coffee, tea, red wine, and berries. Smoking and tobacco use are also significant contributors. Intrinsic stains originate within the tooth structure, possibly due to excessive fluoride exposure during childhood, certain medications (like tetracycline), or trauma to the tooth. The aging process itself can lead to discoloration as the enamel thins, revealing the darker dentin underneath. Understanding the source of your tooth discoloration is key to selecting the appropriate whitening treatment in Adelaide.
Foods and Drinks That Stain Teeth
Certain foods and drinks are notorious for staining teeth. Coffee, tea, and red wine contain tannins, compounds that can bind to tooth enamel and cause discoloration. Berries, such as blueberries and strawberries, also contain pigments that can stain teeth. Dark sauces like soy sauce and balsamic vinegar, as well as curries, can also contribute to staining. Regular consumption of these items can diminish the effectiveness of teeth whitening treatments and contribute to the build-up of stains. Moderation and maintaining good oral hygiene are key to minimizing the impact of these staining agents.
Adelaide Teeth Whitening Secret One Professional Treatments
Professional teeth whitening, performed by a dentist or dental professional in Adelaide, is often the most effective method for achieving dramatic results. These treatments typically involve a high-concentration bleaching agent applied to the teeth, which is then activated by a special light or laser. The process is usually completed within a single appointment and can lighten teeth several shades. Professional whitening ensures the safety and effectiveness of the treatment, as the dentist monitors the process and can address any potential sensitivity issues. This method is ideal for those seeking quick and noticeable results.
Types of Professional Whitening

There are various professional teeth whitening options available in Adelaide. In-office whitening, the most common type, involves a high-concentration bleaching gel applied to the teeth, often activated by a special light. Another option is custom-fitted whitening trays provided by your dentist, allowing you to continue the whitening process at home under professional supervision. Some clinics also offer laser whitening, a more advanced technique using laser technology to accelerate the whitening process. Your dentist will assess your specific needs and recommend the most suitable treatment option.
Benefits of Professional Whitening
Professional teeth whitening offers several advantages over at-home treatments. The most significant benefit is the speed and effectiveness. Professional treatments can often achieve results in a single session, significantly lightening teeth. Dentists use stronger bleaching agents than those available over the counter, leading to more dramatic results. Another key advantage is the safety factor. Dentists are trained to monitor the treatment and minimize potential side effects, such as tooth sensitivity. They can also address underlying dental issues that might affect the whitening process.
Adelaide Teeth Whitening Secret Two: At-Home Whitening Kits
At-home teeth whitening kits provide a convenient and cost-effective alternative to professional treatments. These kits typically include custom-fitted trays and bleaching gels that you apply at home. While at-home kits might not produce the same dramatic results as professional treatments, they can still effectively lighten teeth over time. It’s important to choose a reputable brand and carefully follow the instructions provided to ensure safe and effective results. Consulting with your dentist before using an at-home kit is recommended to assess your suitability and receive guidance.
Choosing the Right At-Home Kit

When selecting an at-home teeth whitening kit, consider several factors. Look for kits that include custom-fitted trays, as these ensure better coverage and minimize the risk of gel leakage. Check the concentration of the bleaching agent; higher concentrations may yield faster results but could also increase sensitivity. Read reviews and compare products from different brands to find a kit that suits your needs and budget. Ensure the product is approved by dental professionals and adheres to safety standards. Consult with your dentist for personalized recommendations.
How to Use At-Home Kits Safely
Using at-home teeth whitening kits safely is crucial to prevent potential side effects like tooth sensitivity or gum irritation. Always read and follow the manufacturer’s instructions carefully. Apply the gel evenly into the trays and avoid overfilling. Wear the trays for the recommended duration, typically 30 minutes to a few hours, as advised by the product instructions or your dentist. If you experience sensitivity, reduce the treatment time or frequency. It is advisable to discontinue the use and consult a dentist if you have any discomfort. Consistent use and proper application will yield the best results.
Adelaide Teeth Whitening Secret Three: Maintain Good Oral Hygiene
Good oral hygiene is essential for maintaining a bright and healthy smile. Regular brushing, flossing, and dental check-ups not only improve the appearance of your teeth but also protect them from decay and gum disease. Maintaining proper oral hygiene habits will help to maximize the results of teeth whitening treatments and prevent future discoloration. It’s important to remember that teeth whitening is just one aspect of comprehensive dental care, and it should be complemented by a consistent oral hygiene routine.
Brushing and Flossing Techniques

Proper brushing and flossing techniques are the cornerstones of good oral hygiene. Brush your teeth at least twice a day, for two minutes each time, using a soft-bristled toothbrush and fluoride toothpaste. Use gentle, circular motions, ensuring you reach all surfaces of your teeth. Floss daily to remove plaque and food particles from between your teeth and along the gum line, where a toothbrush cannot reach. Proper brushing and flossing techniques not only keep your teeth clean but also stimulate the gums, reducing the risk of gum disease. Regular brushing and flossing techniques maintain your bright smile.
The Importance of Regular Dental Check-ups
Regular dental check-ups are crucial for maintaining oral health and identifying potential problems early on. During your check-up, your dentist will examine your teeth and gums, looking for signs of decay, gum disease, or other issues. Professional cleanings remove plaque and tartar buildup, preventing cavities and gum inflammation. The dentist can also assess the suitability of teeth whitening treatments and provide personalized recommendations based on your specific needs. Regular check-ups not only help maintain a healthy mouth but also contribute to a long-lasting, bright smile.
Adelaide Teeth Whitening Secret Four: Avoid Staining Foods and Drinks
As mentioned earlier, certain foods and drinks can stain your teeth and diminish the results of teeth whitening treatments. Reducing your consumption of these staining agents can help maintain your brighter smile. This doesn’t mean you need to eliminate them entirely, but be mindful of your intake and practice good oral hygiene after consuming these items. Limiting your exposure to staining substances will contribute to the longevity of your whitening results and help you maintain a more radiant smile. Staying hydrated is also crucial to rinse away any staining particles.
Foods to Limit for a Brighter Smile

Certain foods are more prone to staining teeth than others. Be mindful of dark-colored fruits, such as blueberries, blackberries, and cherries, as these contain pigments that can adhere to the enamel. Similarly, dark sauces, such as soy sauce and balsamic vinegar, should be consumed in moderation. Regularly eating brightly colored vegetables like beets can also contribute to staining over time. Rinsing your mouth with water after eating these foods can help minimize their impact. A balanced diet with limited exposure to staining foods will help maintain your brighter smile.
Drinks to Avoid for Whitening Results
Drinks like coffee, tea, and red wine are well-known for their staining properties. These beverages contain tannins, which can stain teeth and diminish the effectiveness of whitening treatments. Dark-colored sodas and fruit juices can also contribute to discoloration. If you consume these beverages regularly, consider using a straw to minimize contact with your teeth. Rinsing your mouth with water immediately after drinking these beverages can help reduce staining. Limiting the intake of these drinks will help maintain your newly whitened smile.
Adelaide Teeth Whitening Secret Five: Consider Whitening Toothpaste
Whitening toothpaste can be a helpful addition to your oral hygiene routine, but it’s important to understand its benefits and limitations. These toothpastes typically contain mild abrasives or chemicals that help remove surface stains and brighten teeth. However, they are not a substitute for professional whitening treatments, and the results are usually more subtle. Whitening toothpaste can be a good option for maintaining your smile and preventing new stains, but it’s essential to choose a product that is gentle on your enamel. Consult your dentist for a recommendation. Consistent use, combined with regular brushing and flossing, can help you maintain a whiter smile.
Benefits and Limitations of Whitening Toothpaste

Whitening toothpaste can offer several benefits. It can help remove surface stains, leaving your teeth feeling cleaner and looking brighter. Some whitening toothpastes contain fluoride, which helps strengthen enamel and prevent cavities. However, it’s important to be aware of the limitations. Whitening toothpaste will not change the intrinsic color of your teeth; its primary function is to remove surface stains. Excessive use of abrasive whitening toothpastes can damage your enamel over time. Therefore, consult with your dentist on how often you should use these toothpaste. These toothpastes may not provide the same results as professional treatments.
Choosing the Right Whitening Toothpaste
When selecting a whitening toothpaste, look for products that are gentle on your enamel. Check the Relative Dentin Abrasivity (RDA) value; lower values indicate less abrasiveness. Opt for toothpastes that contain fluoride to strengthen your teeth and prevent cavities. Consider toothpastes that contain ingredients like hydrogen peroxide or baking soda, as these can help remove stains. Always follow the instructions on the packaging, and consult your dentist for a recommendation. Selecting a suitable whitening toothpaste combined with proper oral hygiene can enhance your smile.
Adelaide Teeth Whitening Secret Six: Consult with a Dentist
Consulting with a dentist in Adelaide is essential before undertaking any teeth whitening treatment. A dental professional can assess the condition of your teeth and gums, identify any underlying issues that might impact the treatment, and recommend the most suitable approach for your specific needs. Your dentist can explain the various options available, their expected outcomes, and potential side effects. This consultation provides a safe and effective strategy to achieve a whiter, brighter smile and can prevent any complications or damage to your teeth.
Dental Consultation for Personalized Advice

During your dental consultation, your dentist will perform a thorough examination of your teeth and gums, assessing their health and identifying any pre-existing conditions. They will also inquire about your dental history, lifestyle habits, and desired outcomes. This personalized approach allows the dentist to provide tailored advice and recommend the most appropriate whitening treatment for your individual situation. Your dentist may also take before-and-after photos of your teeth. Your dentist can guide you toward the best solutions tailored to your unique dental needs.
Discussing Expectations and Outcomes
During your dental consultation, your dentist will discuss your expectations and the expected outcomes of teeth whitening. They can explain the degree of lightening that’s realistically achievable and the potential longevity of the results. It’s essential to have realistic expectations to avoid disappointment. Your dentist can also discuss any potential side effects, such as tooth sensitivity, and provide guidance on how to manage them. Open communication and realistic expectations are key to a successful teeth whitening experience. The dentist will help you set realistic goals and answer your questions.
Adelaide Teeth Whitening Secret Seven: Explore Other Cosmetic Options
While teeth whitening is an excellent way to enhance your smile, it may not be the ideal solution for all dental issues. In some cases, other cosmetic dental procedures may be more appropriate to achieve your desired results. If you have severe discoloration, structural damage, or other aesthetic concerns, your dentist may recommend alternative options. Considering all available options is essential to make an informed decision about the best path for your smile. Exploring various cosmetic options can ensure you achieve your smile goals and address any underlying dental concerns.
Dental Veneers for a Perfect Smile
Dental veneers are thin, custom-made shells that are attached to the front surface of your teeth. Veneers are an excellent option for correcting a variety of cosmetic imperfections, including severe discoloration, chips, cracks, gaps, and misshapen teeth. Veneers are made of porcelain or composite resin and can provide a natural-looking and durable solution. They are more expensive than teeth whitening. Consult with your dentist in Adelaide to determine if veneers are the right solution for your smile goals. Veneers can transform your smile to be both healthy and attractive.
Dental Bonding for Aesthetic Enhancement
Dental bonding is a cosmetic dental procedure where a tooth-colored resin material is applied to the teeth and then hardened with a special light. Bonding is a versatile option for correcting minor imperfections, such as chips, cracks, or small gaps between teeth. It’s a less invasive and more affordable alternative to veneers. Bonding is a good choice for addressing smaller aesthetic issues. The procedure is quick and typically completed in a single visit. Discuss this option with your dentist in Adelaide to determine if it’s suitable for your smile enhancement needs.
